Аппендицит – флегмонозное, катаральное или гнойное воспаление червеобразного отростка (придатка слепой кишки) – достаточно распространенная хирургическая патология, в большинстве случаев требующая экстренного медицинского вмешательства. В группу риска воспалению аппендикса входят люди в возрасте 20-35 лет, страдающие перееданием, хроническими запорами или системными патологиями, ослабляющими активность иммунных клеток. У детей основным фактором, приводящим к острому воспалительному процессу, является плохая гигиена рук, употребление немытых фруктов, овощей и некипяченой воды из-под крана.
У подростков старше 12 лет к воспалению аппендикса может привести привычка постоянно грызть подсолнечные семечки. Часть шелухи, а также грязь с рук попадают в пищеварительный тракт ребенка, и, засоряя червеобразный отросток, вызывает его воспаление, которое может перейти в гнойную форму. Лечение аппендицита у детей ничем не отличается от лечения взрослых, но у данной возрастной группы патологический процесс протекает быстрее, что затрудняет своевременное диагностирование, поэтому родители должны знать, как определить аппендицит у ребенка и что делать при его симптомах.
Как определить аппендицит у ребенка
Причины детского аппендицита
- Основной причиной развития аппендицита у ребенка является механическая закупорка просвета червеобразного отростка. Обструкцию может вызвать инородное тело, каловый камень, паразиты или гиперплазия лимфоидных узлов.
- Причиной также может быть индивидуальное строение отростка. Например, наличие изгибов и перекрутов.
- Проблема может появиться у ребенка со сниженным иммунитетом из-за инфицирования, спровоцированного простудой, отитом, ангиной, синуситом, корью и другими заболеваниями. Также инфекция может быть связана с кишечными заболеваниями (брюшной тиф, туберкулез, амебиаз и так далее).
- Обеспечить правильное питание, содержащие нужное количество клетчатки
- Не допускать переедания
- Не есть слишком много сладкого
- Регулярно проводить профилактические меры по борьбе с паразитами
- Стараться не допускать появление дизбактериоза
Как быстро развивается аппендицит у детей? Приступ аппендицита
развивается очень стремительно. Поэтому разрушительные изменения отростка появляются довольно быстро. В связи с этим воспаление часто переносится на брюшину и появляется очень опасное для жизни осложнение: аппендикулярный перитонит.
Из простой катаральной формы аппендицит быстро переходит в деструктивную (флегмонозный или гангренозный). Если вовремя не прибегнуть к лечению и проигнорировать признаки болезни, он может привести к следующим серьезным осложнениям:
- Перфорация стенок отростка и перитонит
- Периаппендикулярный инфильтрат (может перерасти в хронический)
- Кишечная непроходимость
- Общее заражение крови
- Аппендикулярный абсцесс
Важно! По времени от начала воспаления до перитонита может пройти от 24 до 36 часов.
Сложность диагностики
Своевременное обнаружение острого аппендицита может спасти ребенку жизнь, так как избавит его от осложнений. Сложность этого в том, что подобные симптомы возникают при многих других заболеваниях. Поэтому очень важно провести дифференциальную диагностику. Нужно исключить кишечную инфекцию, пиелонефрит, цистит, холецистит, гинекологические патологии у девочек. Особенно часто неосложненное течение аппендицита принимают за инфекцию, так как ему тоже присущи такие признаки, как боль в животе, рвота и понос. Есть и другие патологии, которые вызывают такие же симптомы, как у острого аппендицита. Поэтому лучше всего поехать в больницу и провести обследование.
Как проверить аппендицит у ребенка
Там, кроме проведения диагностических процедур, будут несколько часов наблюдать за ребенком. Прежде всего, у ребенка берут кровь, чтобы определить, есть ли в организме воспалительный процесс. На это будет указывать повышение уровня лейкоцитов. Потом проводится дополнительная диагностика. Это может быть УЗИ органов брюшной полости или рентгенография. Иногда назначается еще КТ.
Характерные симптомы острого аппендицита иногда выявляются у детей при внешнем осмотре. Это болезненность живота справа, а также напряжение мышц. Обязательно проверяется реакция на синдром Щеткина-Блюмберга. Для этого проводится медленное давление на брюшную стенку, а потом быстрое отпускание руки. При наличии острого аппендицита ребенок чувствует боль. Многие врачи дополнительно проводят пальцевое ректальное обследование, которое при остром аппендиците у детей является очень информативным.
Первые признаки аппендицита у детей
Начало может протекать по-разному. С чего конкретно начинается приступ, зависит от места расположения аппендикса.
Самым ранним симптомом
считается боль в области пупка. Затем она перемещается и концентрируется в месте расположения отростка.
- При классическом расположении: боль перемещается в нижнюю правую область живота
- При тазовом расположении: становится болезненной надлобковая область и появляется частое мочеиспускание, а также понос со слизью.
- При подпеченночном расположении: болезненность ощущается в правом подреберье
- При ретроцикальном (аппендикс находится за прямой кишкой) расположении: начинает болеть поясница.
Еще один ранний признак — отказ от еды.
Тошнота и рвота
Во всех случаях заболевания присутствует такой симптом, как рвота. В отличие от обычного отравления рвота не приносит облегчения.
- У малышей рвота многократная
- У ребят школьного возраста однократная, либо двукратная
Температура
Повышенная температура также является одним из самых важных признаков.
- У маленьких детей температура, поднимается высокая до 40°
- В возрасте от 3 – 5 лет температура поднимается до 38 — 39°.
- У школьников старшего возраста (от 12-и лет и больше) приступ сопровождается субфебрильными показателями температуры (до 38°).
- У малышей стул будет жидким
- У детей от 3 – 5 лет наблюдается задержка стула (не запор)
- У подростков, как и у взрослых чаще присутствует запор.
- На стадии простого или катарального аппендицита язык будет влажным и покрыт белым налетом ближе к корню
- На деструктивных стадиях, в частности на флегмонозной стадии, язык также будет влажным, но уже покрыт налетом полностью
- На гангренозной стадии (самой опасной) язык будет сухим и полностью белым
Этот симптом ни в коем случае нельзя оставлять без внимания, особенно если ребенок еще маленький.
Другие симптомы по возрасту
До трех лет воспаление возникает внезапно и развивается очень стремительно, поэтому при малейших признаках надо срочно обращаться к доктору. По возможности осмотр врача лучше всего проводить во сне.
Среди признаков аппендицита у малышей, которые должны насторожить родителей можно назвать:
- Отсутствие аппетита
- Снижение активности
- Плач
- Беспокойство
- Плохой сон (особенно в первую ночь после начала приступа)
- Тошнота и рвота
- Температура может подниматься до 40° (если ребенок на грудном вскармливании, температура может не поднять выше 37,5°)
- Понос или частый стул
- Болезненное мочеиспускание
- Учащение пульса
- Малыш не дает осматривать себя, а также сгибает и подтягивает правую ножку к себе при приседании на корточки.
- Боль усиливается при одевании или во время наклона вправо. Малышу больно лежать на правом боку.
- Частый жидкий стул, выделения могут быть со слизью. Особенно если присутствует диарейный аппендицит.
Помимо того, что из простой стадии аппендицит может быстро перейти в деструктивную и привести к осложнениям, опасность болезни заключается также в том, что частый понос может привести к обезвоживанию организма.
Вызывать скорую помощь надо, когда у ребенка наблюдаются следующие симптомы:
- есть температура, не связанная с простудой
- болит живот в течение нескольких часов
- боль в животе мешает ходить и усиливается при кашле
- если боль уменьшается при надавливании и усиливается, если отпустить руку
В возрасте от трех до пяти лет ребенок может указать, где у него болит. Это в значительной степени облегчает процесс диагностики.
Особенность данного возраста в том, что ребенок какое-то время может терпеть слабую боль и не говорить об этом родителям.
Начиная с семилетнего возраста симптомы в детском возрасте такие же, как и у взрослых. И все же в этом возрасте довольно трудно поставить диагноз, так как он напуган, часто плачет и капризничает.
В этом возрасте из-за страха перед операцией, дети могут говорить, что их уже ничего не беспокоит и скрыть, что живот продолжает болеть.
У подростков старше 12 лет наблюдается так называемый симптом «токсических ножниц». Это значит что пульс (100 – 120 ударов в минуту) и довольно низкая для таких показателей температура тела не соответствуют друг другу. Проверить этот и другие симптомы может только квалифицированный доктор.
В таблице ниже приведена информация о проявлениях болезни по трем основным возрастам, когда присутствует вероятность появления аппендицита. У детей до года аппендицит практически не встречается, а у подростков (с 11 – 18 лет) симптомы схожи с признаками болезни у взрослых.
| Симптом | У детей до 3 лет | У детей от 3 – 6 лет | У детей с 7 – 10 лет |
| Особенность возраста | Не может сказать, где болит. | Может сказать, где болит, но может не обращать внимания на слабую боль и не говорить родителям. | Ребенок может бояться сказать родителям о боли в животе из-за того, что он напуган. |
| Потеря аппетита | Отказ от еды выделяют, как самый ранний признак аппендицита у детей | ||
| Общее состояние организма (слабость) | Ребенок вялый, его постоянно что-то беспокоит (плохой сон), резкий монотонный плач. | Слабость. Необоснованное раздражение и плач. | Слабость. |
| Боль | Болит живот. Боль усиливается при наклоне вправо. Ребенок не может лежать на левом боку. Болезненные ощущения при ходьбе. При надавливании боль стихает, а если отпустить руку усиливается. | Болит живот, какой характер боли, ребенок сказать не в состоянии | Сначала болит весь живот, затем через 2 -3 часа в классическом случае переходит в правую нижнюю половину. Боль усиливается при наклоне вниз. |
| Температура тела | До 40˚С | 38˚С – 39 ˚С | До 38 ˚С (озноб) |
| Язык |
|
||
| Тошнота и рвота | Возникает тошнота и многократная рвота | Рвота 1 – 2 раза | |
| Сухость во рту | Присутствует на последней стадии заболевания (ребенок хочет пить) | ||
| Стул | Жидкий (иногда со слизью), вызывающий обезвоживание организма. | Вздутие живота (метеоризм или повышение газообразования), задержка стула, но не запор | Редко присутствует запор |
| Мочеиспускание | Болезненное | Нормальное | Нормальное в типичном случае (либо частое, при тазовом расположении) |
| Пульс | Выше нормы | «Симптом токсических ножниц» Пульс не соответствует температуре тела. Он обычно выше нормы. В норме пульс должен повышаться на 10 уд./мин. при повышении температуры на 1˚С | |
| Поведение ребенка | Маленький ребенок не позволяет себя проводить осмотр и подтягивает к себе правую ногу. | Беспокойное | Слабость |
В возрасте от 14 до 19 лет воспаление аппендикса встречается чаще всего. Симптомы абсолютно идентичны тому, какие признаки аппендицита у взрослых.
Девочкам помимо общего обследования, дают направление к осмотру детским гинекологом. Это помогает исключить беременность или заболевания женских половых органов.
Что нельзя делать до того, как приедет доктор?
Родителям важно помнить, что до прихода врача при появлении признаков:
- Нельзя ставить грелку на живот
- Нельзя давать обезболивающие (анальгетики).
- Нельзя делать клизму
- Нельзя давать слабительное
Пренебрежение этими советами чревато серьезными последствиями.
Случай из жизни. По рассказам одной пациентки, в детстве во время приступа, ей два дня давали обезболивающие. В итоге девочка потеряла сознание, и сделали операцию с диагнозом гангренозный аппендицит с перитонитом. После операции она находилась в реанимации 4 дня.
Есть ситуации, когда у ребенка определили и вырезали аппендицит после двенадцати часов пребывания в клинике. Возможно, воспалительный процесс вялотекущий и проявляет себя не сразу. Даже если после приезда скорой аппендицит исключают, а симптомы усиливаются надо организовать повторное срочное обязательное посещение клиники. Это подтверждают многочисленные истории болезни, которыми делятся родители на форумах.
Как распознать приступ – основные признаки
Даже если вам или вашим близким вырезали аппендикс, у собственного ребенка вы можете не распознать приступ сразу. Многие болезни в детском возрасте протекают в атипичной форме, и острое воспаление червеобразного отростка – одна из них.
Признаки аппендицита у детей:
- отсутствие аппетита;
- рвота – однократная или многократная, но после приступа легче не становится;
- на начальном этапе развития приступа язык влажный, можно заметить белый налет возле корня, постепенно налет покрывает всю поверхность языка, а при гангренозной стадии язык становится сухим и абсолютно белым;
- слабость, апатия;
- на последней стадии развития болезни возникает сильная жажда;
- учащенный пульс;
- заметное вздутие живота.
На начальном этапе боль появляется не в боку, а под или над пупком, затем передвигается в нижнюю область живота справа или слева, в надлобковую зону, под правые ребра, в поясницу – в зависимости от места расположения аппендикса.
Диагностика аппендицита у детей
Дома родители могут слегка пощупать живот мальчика или девочки. Пальпацию нужно проводить очень аккуратно. Если у ребенка наблюдается боль с правой стороны, стоит немного нажать пальцами в этой области, и возможно будет чувствоваться какое-то уплотнение. Если резко убрать пальцы и боль усиливается, то возможно наличие воспаленного аппендицита. Если боль усиливается при кашле, срочно вызывайте скорую!
Чтобы диагностировать проблему, необходим обязательный осмотр врачом. В ходе осмотра врач методом пальпации определяет, есть ли мышечное напряжение в правой части живота, проверяет силу и локализацию боли. В ходе осмотра видно также присутствует ли раздражение брюшины.
При подозрении на аппендицит для уточнения диагноза, чтобы предотвратить перитонит, необходимо сделать:
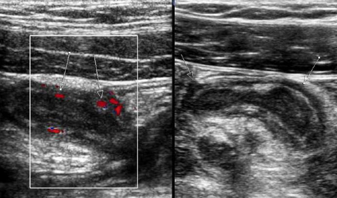
- Ультразвуковое исследование (УЗИ). Этот метод дает возможность определить наличие или отсутствие острого воспаления с точностью 95%.
- Общий анализ крови (позволяет определить уровень лейкоцитов)
- Общий анализ мочи
Если перечисленного выше недостаточно, и клиническая картина неясная, также можно прибегнуть к:
- Компьютерной томографии (КТ)
- Сделать рентгеновский снимок
- Лапароскопии (метод применяют не столько для уточнения диагноза, сколько для того, чтобы удалить аппендицит)
При хроническом аппендиците применяются также следующие виды диагностики:
- Эндоскопическое исследование ЖКТ
- Анализ кала
Как не перепутать с другими недугами?
Чтобы не пропустить начало недуга, нужно учитывать не только жалобы крохи, но и предпосылки развития болезни.
Предпосылки заболевания
Воспалительный процесс в аппендиксе обычно начинается вследствие определенных причин. Спровоцировать развитие недуга может:
- Пониженный иммунитет. Если организм не справится с атакой вирусов и бактерий, они могут проникнуть в брюшную полость и вызвать воспаление червеобразного отростка.
- Частые инфекционные болезни. Они приводят к понижению защитных сил организма. У ослабленных деток чаще воспаляется аппендикс, болезнь протекает тяжело, с осложнениями.
- Закупорка просвета аппендикса каловыми камнями (такое случается при частых запорах) или опухолями.
- Глистная инвазия. Помимо отравления организма, гельминты могут скапливаться и забивать отверстие червеобразного отростка.
- Инородные предметы, которые также способны закупорить выход аппендикса.
Чаще всего в последнем случае «пробку» создает шелуха от семечек или косточки плодов. Так, испанские учение провели исследование и выяснили, что в 40 процентах из 3000 случаев острого типа болезни пациенты ели чипсы или подсолнечные семечки. В большинстве, это были дети до 14 лет.
Дифференциальная диагностика
Далеко не всегда температура, расстройство кишечника или боль в животе – признаки именно аппендицита.
Важно! Недуг важно дифференцировать со схожими проявлениями ОРВИ, болезней желудочно-кишечного тракта и системы выделения, пневмонии, скарлатины, отита, кори, краснухи, гепатита.
Так, при респираторных инфекциях признаки похожи, но нет резкой боли при пальпации живота. А вот насморк при них обычно присутствует. При пневмонии присутствуют хрипы в легких, одышка, прерывистое дыхание. Аппендицит так не проявляется. При отитах у малышей боль возникает в ушках, а не в животе.
Важно! Признаки аппендицита у детей легко спутать и с непроходимостью кишечника. Рекомендуем прочитать статью: «Непроходимость кишечника у детей: опасно ли это?«
Точно выявить болезнь помогают инструментальные диагностические процедуры. К самым распространенным относят общие анализы крови и мочи, УЗИ, но в сложных случаях может понадобиться компьютерная томография – она более информативна.
Лечение аппендицита у детей: операция
Лечение представляет собой операцию по удалению аппендикса или аппендэктомию. Хотя есть крайне редкие случаи, когда ребенок выздоравливает без операции, чаще всего приходится прибегать к хирургическому вмешательству.
- Детям аппендэктомию лучше всего делать, применяя лапароскопический метод. Это допустимо в тех случаях, когда еще нет перитонита. Длится такая операция всего 20 минут. Для обеспечения доступа делают три небольших прокола. Через них вводят небольшую камеру и необходимые инструменты.
Как проводят такую операцию ребенку показано на видео:
После лапароскопии ребенок еще примерно семь дней должен будет находиться на стационарном лечении в больнице под наблюдением врачей.
- Если произошел разрыв аппендицита , то человека оперируют преимущественно через открытый разрез. В ходе аппендэктомии в данном случае удаляются поврежденные участки кишечника, и выполняется очистка брюшной полости.
После такой операции реабилитация будет длиться дольше, и потребуется проведение интенсивного послеоперационного лечения антибиотиками. Полное восстановление может занять не один месяц.
У детей послеоперационный период усложняется тем, что им трудно первые сутки после операции не кушать, ничего не пить. Они не могут лежать на месте и соблюдать другие рекомендации врачей.
Осложнения после операции по удалению аппендицита
Сразу после аппендэктомии следует ожидать появления гематомы и отека в области швов. Через несколько дней отек должен начать уменьшаться, а синяк пройдет сам по себе.
В период реабилитации возможны следующие нежелательные осложнения:
- Замедленное заживление раны
- Нагноение швов (часто возникает из-за того, что не до конца был удален гной после аппендицита с перитонитом)
Если на 6 – 9 день после операции резко поднимается температура, наблюдается лихорадка и появляется резкая боль в правом боку, то есть риск появления серьезных послеоперационных осложнений, таких как:
- Гнойный абсцесс
- Спаечная болезнь
- Внутренние кровотечения
- Поддиафрагмальный абсцесс
Лечение
Прогноз выздоровления зависит от своевременности диагностики и поступления ребенка в хирургическое отделение стационара. Ведь лечение острого аппендицита возможно только с помощью хирургического вмешательства. Удаление червеобразного отростка, или апендэктомия – это одна из самых простых операций. Ее своевременное проведение обеспечивает отсутствие осложнений и быстрое выздоровление ребенка. Перед хирургическим вмешательством проводится подготовка – ребенку вводятся антибиотики для предотвращения инфицирования.
При неосложненной форме аппендицита сейчас чаще всего проводят лапараскопическую операцию. Для этого в стенке брюшины делается несколько проколов, через которые вводится камера и инструменты. Проводится процедура под наркозом и длится около 40 минут. После такой операции редко появляются осложнения, и ребенок быстрее восстанавливается.
В сложных случаях при угрозе перфорации или если разрыв аппендикса уже произошел, делается полостная операция. При этом кроме удаления червеобразного отростка, хирург проводит манипуляции по предотвращению перитонита. Такая операция может длиться более 2 часов. Частота развития осложнений зависит от состояния иммунитета ребенка и стадии патологии.
После операции врачебное наблюдение продолжается несколько часов, потом больного переводят в палату. После лапараскопического вмешательства выписать ребенка могут через 3–4 дня, в случае полостной операции восстановление будет проходить дольше. Важно соблюдать все рекомендации врача по питанию и физической активности ребенка. Большие физические нагрузки после операции запрещены, но строгий постельный режим нужно соблюдать только несколько дней, потом нужно начинать двигаться. Это поможет предотвратить развитие спаечного процесса и непроходимости кишечника.
Может ли быть аппендицит у ребенка до года?
У годовалых малышей
эта болезнь практически не встречается. Чаще всего это заболевание появляется в возрасте от 6-и лет и старше. Согласно статистике из всех случаев этого заболевания в детском возрасте:
- На ясельный возраст приходится только 5% случаев
- На дошкольный возраст – 13%
- На школьный – 80%
У грудничков проблема встречается крайне редко, так как у них просвет аппендикса шире, а сам отросток по размеру короче. К тому же у новорожденных младенцев еще не до конца развиты лимфатические фолликулы. Более того, тип питания до 2-х летнего возраста такой, что вероятность обструкции червеобразного отростка очень мала.
Важно! Симптомы аппендицита очень схожи с симптомами других заболеваний. Боль в животе у ребенка может быть обусловлена и наличием в организме инфекции, а также при запорах, переедании, отравлении и так далее. Чтобы выявить точную причину боли, надо вызывать доктора.
Механизм развития
Обычно пища, которая продвигается по кишечнику, не попадает в аппендикс. Но иногда такое случается. При этом она уже не может покинуть его и, разлагаясь, вызывает воспалительный процесс. Выделяются газы и слизь, которые переполняют отросток, давят на его стенки.
Воспалительный процесс приводит к отеку и напряжению стенок червеобразного отростка. Вследствие этого может нарушиться венозный отток, что еще больше усиливает воспаление и размножение бактериальной флоры.
Внимание: при прогрессировании патологии возможно развитие некроза стенок отростка, что может привести к их разрыву и попаданию его содержимого в брюшную полость. Это состояние грозит развитием перитонита.
Воспаление аппендикса у детей может начаться сразу остро. При этом лечение обычно проводится сразу. Но иногда боли в животе не очень сильные, ребенок не жалуется или родители не придают этому значения. При этом патология может пройти через несколько стадий:
- сначала развивается простой или катаральный аппендицит, при котором воспаление поражает только стенки отростка;
- на второй стадии – деструктивной, отросток увеличивается в размерах, там происходит застой крови, нарушается кровообращение;
- если патология прогрессирует, воспаление приводит к некрозу тканей – это гангренозная стадия;
- после этого происходит перфорация стенок и выброс содержимого отростка в брюшную полость, что приводит к воспалению брюшины и заражению крови.
Симптомы
При воспалении болевой синдром развивается с того боку, в какой стороне аппендицит локализуется. При появлении следующей клинической картины следует незамедлительно вызвать скорую помощь.
- Ключевая симптоматика – боль появляется с того боку, с какой стороны аппендицит у человека развивается, то есть справа, внизу брюшины. Дискомфорт отчетливо ощущается при надавливании на живот, особенно с той стороны, где находится воспаление. Живот становится твердым на ощупь и раздутым. Больному становится трудно ходить и стоять. Он чувствует облегчение только в положении лежа, подтянув ноги к животу.
- Дополнительные признаки. К боли в области живота могут присоединиться и такие симптомы, как повышение температуры тела до 38 градусов, периодическая рвота и запор, тошнота и боли в спине. Возможно появление поноса и болезненных позывов к опорожнению кишечника, которые зачастую являются ложными.
Недостаточно знать только, с какой стороны аппендицит находится у человека. Важно запомнить и дополнительную симптоматику, что позволяет вовремя обращаться к врачу, исключая вероятность развития осложнений.
Следует обратить внимание, что характерной чертой аппендицита является резкая боль при ослаблении давления на живот. На языке у больного присутствует белый налет.
У взрослых
Мужчины часто путают воспаление аппендикса с воспалением в области мочевого пузыря или проблемами с почками. Женщины принимают возникшую симптоматику за воспаление придатков.
Аппендицит несет серьезную опасность для лиц с такими заболеваниями, как сахарный диабет, ожирение, рак. Серьезные последствия могут возникнуть и у беременных женщин. Для того чтобы избежать осложнения, рекомендуется как можно раньше обратиться к врачу.
У детей
В детском возрасте симптоматика аппендицита отличается от проявлений воспалительного процесса у взрослых. Обусловлено это тем, что в организме ребенка лимфоидная ткань червеобразного отростка развита слабо.
У маленьких детей область локализации аппендикса находится ретроцеркально (позади прямой кишки) или подпеченочно. Это также является причиной отличия симптоматики от проявлений заболевания у взрослого человека.
В каком боку аппендицит болит у ребенка? Также с правой стороны внизу живота. К данному признаку присоединяется ряд характерных для детского организма признаков:
- повышение субфебрильных показателей температуры;
- нарушение процессов мочеиспускания и рвота;
- вздутие живота, понос или запор;
- тахикардия (учащение пульса);
- признаки сильного беспокойства (нарушение сна, отказ от еды, плач).
В детском возрасте развитие воспалительного процесса в области червеобразного отростка происходит стремительно. Сначала возникает боль в области эпигастрия. Дискомфорт постепенно спускается в характерное место локализации.
Если аппендикс находится в атипичной области, то боль будет локализоваться в области печени, внизу живота над лобком или в районе поясницы, иррадиируя в пах. В некоторых случаях дискомфорт может отдавать в спину, промежность или пах. В данном случае в процессе диагностики могут возникнуть трудности, распознавать заболевание должен только опытный врач.
Испанские ученые установили, что в 40 % случаев развития острого аппендицита дети в возрасте до 14 лет накануне употребляли чипсы или семена подсолнуха.
Диагностика заболевания
Диагностика аппендицита
Для диагностики аппендицита врач «скорой помощи» или специалист на амбулаторном приеме проводит осмотр пациента, сбор медицинского анамнеза, пальпацию живота в разных проекциях. Чтобы дифференцировать болевой синдром при аппендиците с другими патологиями (например, прободением язвы), используются специальные симптоматические тесты, предложенные специалистами.
| Симптом Образцова | Пациента укладывают в горизонтальное положение на спину с выпрямленными ногами. После этого предлагают поднять правую ногу вверх, не сгибая ее в коленях. | В месте локализации воспалительного процесса боль усилится и примет более острое течение. При критическом течении заболевания пациент не сможет выполнить данный тест. |
| Проба Ровзинга | Проба проводится во время пальпации живота в положении лежа на спине. Врач надавливает на область расположения воспаленного аппендикса толчкообразными движениями. | Во время надавливания больной не чувствует болей, но когда врач отпускает руку, болевой синдром появляется снова. |
| Тест Ситковского | Пациента укладывают сначала на правый бок, потом на левый, и отслеживают его реакцию. | На правом боку болезненные ощущения прекращаются или становятся менее интенсивными. Если пациента перевернуть на левый бок, боль будет выраженной и находиться в характерной для аппендицита локализации. |
Кроме этого, пациенту проводится УЗИ брюшной полости и органов малого таза, в некоторых случаях может потребоваться магнитно-резонансная или компьютерная томография. При очень тяжелом течении может потребоваться экстренное оперативное вмешательство без подготовительного обследования.
Видео — Симптом Образцова
Видео — Симптом Ситковского
Что такое аппендицит?
Аппендицит – острое воспаление придатка слепой кишки (аппендикса), реже хроническое. Основной метод лечения – хирургическое вмешательство и удаление червеобразного отростка. Аппендицит – заболевание, которое сложно диагностировать. Затягивать с визитом к врачу может быть крайне опасно из-за того, что быстро развивается острая форма – перитонит.
Проявляется болями в области живота, высокой температурой, тошнотой и рвотой. Ряд других заболеваний, такие как отравления, различные инфекции, непроходимости двенадцатиперстной кишки и другие, сопровождаются такими же проявлениями. Сложность в постановке диагноза добавляет то, что отросток у разных людей нестабилен в своем положении, и может определяться в разных проекциях брюшной стенки.
Классификация аппендицита
Врачи различают несколько стадий развития заболевания, а также происходит разделение на виды по степени тяжести аппендицита. Каждая стадия развития болезни вытекает из предыдущей. Простой аппендицит ввиду отсутствия лечения провоцирует возникновение осложнений, приводящих к появлению тяжелой формы заболевания.
Несложный
Катаральный или простой вид воспаления. Считается не острым. Проявляющиеся симптомы слабые. Отек и утолщение стенок органа малозаметное. Диагностика на данной стадии позволяет избежать возникновения более серьезных симптомов. Лечение проходит быстро и наименее болезненно.
Развитие болезни
Следующая стадия развития заболевания – деструктивный аппендицит. На этой стадии возможно два пути дальнейшего течения воспаления:
- Флегмонозная стадия. Размеры отростка значительно увеличиваются. Воспалительные процессы способствуют отеканию органа. В кровеносных сосудах, снабжающих аппендикс, появляется тромбозное явление.
- Гангренозная стадия. Некротические явления, происходящие в просвете Фолликулярного аппарата, выходят за пределы. Возникают некрозы тканей кишечного тракта.
Острый
Возникновение острой формы аппендицита сигнализирует о запущенности заболевания. Внутри слепого отростка скапливается гной, приводящий к критическому увеличению размеров органа и возможно разрыву.
Локализация болевого синдрома зависит от расположения аппендикса в детском теле. Отклонение от нормы местоположения делает затруднительным диагностику болезни.
Доктор Комаровский, известный педиатр даёт клинические рекомендации, что не нужно делать, если есть подозрение на аппендицит у ребенка:
- Если у малыша болит живот, не нужно давать обезболивающие, это значительно осложнит диагностирование воспалительного процесса при внешнем осмотре у врача-хирурга.
- Также нельзя прикладывать холодные компрессы на живот, чтобы уменьшить дискомфортное ощущение.
Указанные действия могут привести к постановке неправильного диагноза или потери времени при развивающемся воспалении.
Основные причины
Фолликулярный аппарат или аппендикс представляет собой отросток, находящийся в самом начале слепой кишки. Размер его может достигать до 20 сантиметров, как правило, стандартная длина от 5 до 7 см. Внутри органа располагается слизистая оболочка и лимфоидная ткань, выполняющая защитные функции от вирусов, патогенных бактерий. По всей длине отростка расположены нервные окончания и кровеносные сосуды.
Развиваться острый аппендицит может по двум явлениям:
- Просвет червеобразного отростка сужается.
- Проход в аппендикс перекрыт.
Когда канал отростка перекрывается, нарушается нормальный отток слизи, продуцирующейся внутри органа. Внутри нарушается баланс местной микрофлоры, начинается размножение болезнетворных микроорганизмов, возникает воспалительный процесс. Детская хирургия выделяет распространенные причины закупорки прохода:
- Каловые камни, образующиеся в прямой кишке. Они распространяются по всему кишечному тракту и могут проникнуть в аппендикс.
- Наличие в кишках чужеродных предметов, не переваривающихся в желудочном тракте. Нередко причины возникновения воспаления заключаются в шелухе от семечек подсолнечника.
- Глисты. Нередко размножаясь, они способны перекрыть проход в отростке.
- В результате неправильного развития кишки происходит перекрут органа и просвет перекрывается.
- Патологии, обнаруженные при рождении, или неправильное анатомическое строение слепого отдела кишечника.
Механическое воздействие, перекрывающее просвет, приводит к дисфункции отростка. Слизь не может в достаточном объёме выводиться из фолликулярного аппарата или отток жидкости прекращается полностью. Это способствует возникновению застоя внутри аппендикса, увеличению давления на стенки, отека слизистой. Снабжение кислородом и питательными веществами прекращается. Патогенная микрофлора размножается. Острая форма заболевания развивается спустя 12 часов, прошедших после начала воспалительного процесса.
Дальнейшее нарастание аппендицита с последующим разрывом и возникновением перитонита проходит мало времени, в пределах 1-3 суток.
Где находится аппендицит, как выглядит?
Почти у всех людей аппендицит находится справа. Именно боли в правой части живота и являются главным признаком воспаления аппендицита. Для того, чтобы с большой вероятностью определить у себя это заболевания необходимо:
- Надавить кончиками пальцев в область подвздошной кости с правой стороны. Если при таком действии боль усилиться, то с большой вероятностью можно утверждать, что аппендикс воспален. Для уверенности можно сделать тоже самое действие с левой частью живота. Если болевых ощущений нет, то это еще один из признаков аппендицита
- Покашляйте. Обычно при описываемом заболевании сокращении мышц при кашле может вызвать болевые ощущения в правой части живота. Это также может быть сигналом того, что необходимо вызывать скорую для получения профессиональной помощи
- Надавите ладонью на область подвздошной кости и подождите 10 секунд. Если боль после снятия руки усилиться, то это также один из признаков воспаления аппендикса
- Лягте на левый бок. При таком положении, при аппендиците боль должна уменьшиться
ВАЖНО: Все вышеописанные методы диагностирования аппендицита в домашних условиях не могут дать гарантии того, что у вас нет воспаления аппендикса. Поэтому при первых симптомах заболевания необходимо срочно обратиться к лечащему врачу.

С какой стороны болит аппендицит?
Ответить с какой стороны болит аппендицит очень сложно. Да, выше мы писали, что аппендикс у подавляющего числа людей находится справа в нижней части живота. Но, боль может «отдавать» в других местах брюшной полости. Локализация боли в месте расположения аппендикса происходит уже в острой фазе, когда воспаление усиливается.
Существует несколько мест, болевые ощущения в которых могут быть связаны с аппендицитом:
- Верхняя часть живота. Это боль предвещает проблемы с аппендиксом. Она, как правило, возникает внезапно и постепенно усиливается. После чего может подняться температура, появится рвота и другие симптомы описываемого заболевания
- Весь живот. В некоторых случаях воспаление аппендикса может «отражаться» болью во всем животе. При этом самочувствие пациента резко ухудшается
- Таз. При нетипичном расположении аппендикса (встречается у 30% людей) боль от его воспаления может отдавать в таз
- Поясница. Иногда боль отражается в поясничном отделе спины. Поэтому, многие пациенты изначально думают, что у них заболевание почек
Провоцирующие факторы
Для правильного протекания процесса пищеварения по всей длине кишечного тракта располагается микрофлора, представляющая собой баланс между полезными и враждебными микроорганизмами. Потому говорить, что причиной возникновения воспаления служит местная микрофлора, нельзя. Провокатором становится определенный фактор, способствующий тому, что болезнетворные бактерии размножаются и баланс нарушается. Но что может спровоцировать дисбаланс:
- Попадание инфекции вместе с лимфатической жидкостью. Назначение жидкости очищать внутренние органы от токсинов и других отравляющих веществ и их вывод через лимфатические узлы. Острые вирусные заболевания становятся источником токсинов, попадающих в лимфу.
- Инфекция может прийти в кровотоке. Развивающиеся вирусы вырабатывают токсины, отравляющие организм, они легко всасываются в кровь и разносятся по внутренним органам, в том числе и в аппендикс.
Можно выделить основные причины, провоцирующие внутренние изменения и становящиеся провокаторами раннего заболевания:
- Нарушение питания. В группу риска входят дети с ранних лет не ограниченные в сладостях. Родители разрешают им есть шоколадки, чипсы и другие продукты питания, чье положительное воздействие на организм сомнительно.
- В рационе ребенка мало клетчатки, необходимой для правильной работы пищеварительной системы. Отсутствует стимуляция кишечника, каловые массы слабо проходят по каналу.
- Превышение допустимой дозы сахара в детском меню. Это бывает от большого количества шоколадок, конфет и других сладостей.
- Отсутствие регулярной дефекации длительное время тоже становится причиной воспалительного процесса.
- Возникновение дисбактериоза в кишечном тракте провоцирует нарушение баланса в остальных отделах органа.
- Болезни ЖКТ: инфекции, отравление, раздражение.
- Глисты.
Методы диагностики и лечения
При появлении болевого синдрома в области живота человек может попробовать удостовериться в наличии аппендицита. Для этого стоит воспользоваться одним из следующих способов.
- Симптом Образцова – пациент ложится горизонтально и выпрямляет ноги. Далее нужно поднять несогнутую правую ногу вверх. При аппендиците болевой синдром в данный момент увеличится. В запущенных случаях больной не сможет выполнить данное действие.
- Проба Ровзинга – при пальпации живота нужно нажать на ту область, с какой стороны располагается аппендикс. Движения должны быть толчкообразными. При нажатии у больного не возникает дискомфорта. Боль появляется в момент отпускания руки.
- Тест Ситковского – больной ложится на правый бок, после чего на левый. На правом боку боль утихает или же полностью прекращается. При повороте на левую сторону дискомфорт увеличивается и сосредотачивается в области локализации червеобразного отростка.
При подозрении на аппендицит необходимо вызвать скорую помощь. До приезда врача нельзя давать больному еду и питье, а также обезболивающие лекарственные препараты. Недопустимо использовать горячую грелку или давить на живот.
Лечится аппендицит только хирургическим путем. Чем раньше будут приняты лечебные меры, тем меньше вероятность развития осложнений.
Как помочь ребенку в домашних условиях
Если малыш или подросток жалуется на дискомфорт в правом боку, который не исчезает длительное время, не затягивайте с вызовом скорой помощи на дом. До приезда врача уложите ребенка в постель, организуйте прохладное обильное питьё и наложите на болезненный участок влажное полотенце. Вспомните, когда больной ел последний раз, расспросите о характере боли, измерьте температуру.
Когда начинает болеть аппендицит, желание унять боль является естественным для каждого родителя. Но облегчать состояние болеутоляющими медикаментами не следует, поскольку они затрудняют постановку диагноза. В острых случаях откладывание операции может быть опасно для жизни.
Давать детям слабительное для наладки дефекации также не рекомендуется. Препараты этой группы ускоряют разрыв отростка. Согревание проблемной зоны, как и постановка клизм, недопустимо. Подобно слабительным средствам мероприятия вынудят аппендикс лопнуть. Истечение содержимого отростка грозит перитонитом, другими словами, воспаление разольётся по всей брюшине.
Чем опасен острый аппендицит?
У взрослых и детей старше 10 – 12 лет наибольший риск представляет флегмонозный аппендицит. При этом червеобразный отросток становится похожим на мешочек, до отказа заполненный жидким гноем, и может прорваться в брюшную полость. Если аппендикс лопнет, разовьется перитонит – разлитое воспаление по всему животу. Тогда операцию придется выполнить в большем объеме, чтобы тщательно промыть антисептиками брюшную полость от гноя. Потребуется длительный курс нескольких антибиотиков и долгое лечение в стационаре. Детский организм не способен самостоятельно обуздать инфекцию и ограничить воспаление лишь в одном участке брюшной полости. Легко вовлекаются окружающие органы – петли кишечника, органы малого таза, печень. Однако наиболее вероятное осложнение – системная реакция воспаления (сепсис, в народе – заражение крови) из-за незрелости иммунного ответа. Поэтому чем раньше родители заподозрят неладное, тем выше вероятность быстрого выздоровления.
Аппендицит: симптомы у детей 10 лет, фото больного ребёнка
Многие родители прибегают к помощи интернет-источников при ухудшении состояния ребёнка. Информация, размещённая на медицинских сайтах, часто достоверна, однако в любом случае очень важно как можно быстрее обратиться за квалифицированной медицинской помощью. Только врач по симптомам на 100% подтвердит патологию, если она есть. Фото больных детей, размещенные в статье, могут дать лишь приблизительное представление о проблеме.
Что можно кушать после операции на аппендицит?
После хирургического вмешательства и наркоза, организм больного, а также его пищеварительная система подвергается большому стрессу. Его можно минимизировать с помощью специальной диеты. Она делиться на несколько этапов, в зависимости от времени восстановления.
ПЕРВЫЕ 24 ЧАСА ПОСЛЕ ОПЕРАЦИИ
В первые сутки после операции пациенту как правило не до еды. Наркоз, а также последствия воспаленного аппендикса, негативно сказываются на питании. Но, восстановление организма после перенесенного «потрясения» невозможно без приема полезных продуктов. И в первый день после операции они должны поступать в организм с жидкостями. Лучше всего, если это будут теплый чай, ягодные компоты, кисель и обычная вода.
Переходить на более твердые продуты можно только с разрешения лечащего врача.
ВТОРОЙ И ТРЕТИЙ ДЕНЬ ПОСЛЕ ОПЕРАЦИИ
На вторые сутки после удаления аппендикса больному, как правило, можно употреблять в пищу нежирные бульоны. Если больному можно белок, то врачи разрешат ему включить в рацион йогурт и другие молочные продукты мягкой консистенции.
Помимо компотов и чая на вторые сутки больной может употреблять некислые соки.
ВАЖНО: Питаться после операции необходимо небольшими порциями несколько раз в сутки. Включение в свой рацион тех или иных продуктов необходимо согласовать со своим лечащим врачом.
3-7 ДНЕЙ ПОСЛЕ ОПЕРАЦИИ
После первых трех дней восстановления после такой операции свой пациент может разнообразить свой рацион распаренными сухофруктами, отварными овощами, куриными бульонами и различными кашами, приготовленными на воде. Врач может разрешить отварную курицу или рыбу без костей приготовленную на пару.
Признаки воспаления у малышей
Аппендикс у маленьких детей имеет форму воронки. Такое строение практически исключает механическую закупорку просвета. Однако есть факторы, которые создают условия для развития воспаления до 3-х летнего возраста: несовершенство фолликулярного аппарата, уязвимость тонких стенок отростка.
Аппендицит у ребенка в 2, 3, 4, 5 лет можно распознать по признакам:
- внезапная вялость, плач;
- жалобы на сильную боль в боку;
- повышение температуры до 40 градусов;
- озноб, лихорадка;
- многократная рвота;
- жидкий стул со слизью;
- частое мочеиспускание;
- учащение пульса.
Поскольку воспаление провоцирует сбои пищеварения, дефекация может быть затруднена. Боль иногда отдает в правую ногу, ребенок начинает хромать. В некоторых случая малышей беспокоят ложные позывы «в туалет», которые связаны со скоплением газов. По мере развития аппендицита появляется сухость во рту, язык обложен белым налетом. Высокая температура, рвота и понос провоцируют обезвоживание организма, поэтому малыш резко слабеет, возникают боли в мышцах.
Восстановительный период после операции
Операция по удалению аппендикса травмирует организм, и требует восстановительного периода, который включает в себя:
- Послеоперационный уход за пациентом. Больной должен соблюдать рекомендации медперсонала, вставать в показанные сроки, получать необходимую терапию;
- Соблюдение диеты. Употреблять продукты и блюда, разрешенные доктором, чтобы снизить нагрузку на кишечник;
- Небольшие физические нагрузки, которые поспособствуют улучшению кровоснабжения, и разгонит метаболизм.
- Необходимо следить за стулом ребенка, через день необходимо опорожнить кишечник либо самостоятельно, либо использовать клизму;
Период восстановления – необходимая часть в лечении аппендицита.
Чего нельзя делать при аппендиците?
Если все признаки, указывают на развитие аппендикса, нужно помнить, что есть некоторые моменты, которые делать нельзя.
Итак, нельзя:
- Давать ребенку обезболивающие препараты, чтобы не смазать симптом болезни. Доктору будет сложно выявить причины и начать лечение;
- Принимать слабительные, дабы не раздражать кишечник;
- Прикладывать горячее к месту воспаления – это способствует усилению болей;
- Ставить клизму, чтобы избежать возможных осложнений;



















