Иногда возникает ситуация, когда при проведении ультразвукового исследования, врач обнаруживает небольшое количество жидкости в позадиматочном пространстве. Чем это чревато и какими проблемами грозит, разберем детально.
Само позадиматочное пространство располагается за маткой и ограничивается брюшиной. Скопление жидкости возможно в нижней части этой полости.
Иногда незначительная жидкость в позадиматочном пространстве может быть вызвана естественными причинами и не грозит серьезными проблемами.
Незначительная жидкость в позадиматочном пространстве обычно не является проблемой
Возможно это при разрыве фолликула. Напомним, как происходит овуляционный процесс:
- В яичнике развиваются жидкостные пузырьки — фолликулы.
- Один пузырек опережает по росту остальные и служит оболочкой для формирования яйцеклетки. Остальные пузырьки постепенно уменьшаются в размерах и исчезают.
- Фолликул достигает 20-25 мм в диаметре, что говорит о полноценном развитии клетки.
- Пузырек разрывается, клетка покидает оболочку, продвигаясь к матке.
Незначительную жидкость в позадиматочном пространстве могут вызвать овуляционные процессы
Такой процесс цикличен и наблюдается каждый месяц. Длится он после окончания месячных до середины цикла. Процесс освобождения клетки и называется овуляцией.
Именно в момент разрыва возможно попадание некоторого количества жидкости в брюшную полость. Но в фолликуле этой жидкости весьма мало и даже ее попадание в область за матку не вызовет тревог.
Врач определит такое содержание нормативным и своевременным (в середине цикла). Через пару дней жидкость рассосется.
Жидкость в позадиматочном пространстве может появиться еще при некоторых естественных процессах, что не должно вызывать боязни:
- Месячные. Во время кровянистых выделений возможен заброс крови в эту полость. Беспокоиться не стоит. Во время менструации эндометрий вместе с выделениями переходит в брюшную полость.
- У молодых девушек или девочек в период раннего полового созревания может наблюдаться излишняя жидкость в полости. Врач проверит и диагностирует норму.
Свободная жидкость в позадиматочном пространстве диагностируется с помощью УЗИ
При обнаружении подобной проблемы на УЗИ, если это не сопровождается признаками нестабильности процесса (температура, боль), врач определяет 2-3 дня для наблюдений.
Если при повторном УЗИ жидкость абсорбировалась, процесс прошел ритмично. Если остается, проводят дополнительные анализы и обследования, чтобы выявить проблему.
Нередко она может быть вызвана заболеванием, причем очень серьезным, требующим незамедлительного вмешательства.
Лучше не ожидать и при первых симптомах одного из нижеперечисленных заболевания посетить больницу и пройти исследование и лечение при необходимости.
Кроме естественной причины, небольшая жидкость в позадиматочном пространстве собирается при некоторых болезнях, вызванных воспалительными процессами. Вызвать скопление могут воспаления любых органов половой и мочеиспускательной сферы:
- матка;
- фаллопиева труба;
- яичники;
- мочевой пузырь.
При подобных заболеваниях жидкость самостоятельно рассосаться не может. Врач направит пациентку на УЗИ и будет наблюдать при прохождении курса лечения ситуацию.
При воспалении свободная жидкость в позадиматочном пространстве требует лечения под контролем врача
Необходимо уменьшить и наблюдать жидкость в позадиматочном пространстве в незначительном количестве. Для подтверждения воспаления проводят дополнительные анализы. Выставив точный диагноз, специалист назначит антибактериальные препараты. Особенности лечения могут отличаться исходя из сложности случая:
- При выявлении заболевания на начальной стадии врач прописывает несколько видов антибиотиков. Если прием лекарств эффекта не дает, ввод антибиотиков происходит посредством капельницы или инъекции.
- При запущенной ситуации, когда в тканях присутствуют гнойные скопления, назначается операция. Она необходима для вскрытия гнойника, чтобы не допустить заполнение гноем брюшной полости, что приведет к печальным последствиям. Если абсцесс находится на яичнике или матке, иногда возможно и удаление пораженного органа, если сохранить его невозможно.
- В обязательном порядке назначают анализы для партнера. Он может выступать носителем инфекции. Если ее не устранить, возможно повторное заболевание аналогичного типа у женщины.
Еще один случай, когда образуется жидкость в позадиматочном пространстве – при беременности внематочной. Как мы знаем, яйцеклетка в половых путях встречается с мужскими клетками, с одним из которых возникает контакт и, как следствие, оплодотворение.
Далее плодное яйцо поступает к матке. Там оно должно прикрепиться к ее стенке. Но бывают ситуации, когда яйцо закрепляется на стенке маточной трубы. Такая неправомерная имплантация провоцирует разрыв стенки трубы, из-за чего жидкость поступает за матку.
Диагностируется это посредством тестов, анализов и УЗИ. Но внематочное зачатие подает болезненные признаки задолго до накопления излишка жидкости. Потому упустить этот момент и обнаружить его только при УЗИ не получится.
Жидкость в позадиматочном пространстве, причины ее появления — все это может диагностировать врач. Мы здесь рассматриваем общие случаи, одним из них выступает кровоизлияние в яичник (апоплексия). Это возможно при таких обстоятельствах:
- строма яичника;
- разорвался сосудик;
- киста фолликула;
- киста яичника.
При этом происходит кровоизлияние непосредственно в яичнике, а после разрушения ткани последнего – переходит в брюшную полость. Наблюдающаяся по УЗИ жидкость носит кровавый характер. Это преимущественно кровь, зачастую со сгустками. Обнаружить такое нарушение можно по следующим симптомам:
- боль в области брюшной части, в районе поясницы;
- выделение кровяной слизи из влагалища;
- слабость, головокружение.
Вызвать жидкость в позадиматочном пространстве в виде кровяных сгустков могут любые причины: травма, грубый половой акт, сильные физические нагрузки.
Любое подобное действие вызывает нарушения в сосудистой системе или тканях яичника.
Если у девушки имеются некоторые отклонения, в виде расширенных сосудов, мелкокистозного деформирования яичника, гиперемии или даже воспалительного процесса, она считается предрасположенной к апоплексии.
Жидкость в позадиматочном пространстве может быть вызвана апоплексией
Это очень серьезное заболевание, требующее срочного лечения и обращения к врачу. Лечение происходит поэтапно: остановка кровотечения, восстановление тканей пострадавшего яичника, стабилизация организма из-за большой кровопотери.
Если накапливается свободная жидкость в позадиматочном пространстве и прямокишечном углублении, это может быть вызвано острым воспалением органов малого таза. Название болезни – гнойный сальпингит. На УЗИ оно выглядит как расширение маточных труб (увеличение или удлинение) и наличие жидкости. Выявить данное заболевание можно по таким признакам:
- болевые ощущения;
- чувствительность, неприятные ощущения при движении шейки матки;
- повышение температуры.
При сдаче анализов диагноз подтвердят большое количество лейкоцитов, СОЭ и обнаружение гноя при пункции заднего свода. Лечение подразумевает операционное вмешательство.
При этом обязательно удаляется лишняя жидкость, купируется острое проявление воспаления, подавление воздействия микробов, обрабатывается очаг поражения и корректируется метаболическое нарушение.
Лечение происходит длительно и включает реабилитационный период под присмотром врача, чтобы удостоверится в приходе в нормальный ритм работы всех органов.
Но существуют и немало серьезных причин, которые также сопровождаются сбором жидкости в полость. Потому стоит систематически посещать гинеколога, даже при отсутствии проблем, чтобы не пропустить отклонение в привычной работе всех систем.
При болевых и других неприятных симптомах, обращение к гинекологу откладывать не нужно.
Источник: http://ovulyaciyatut.ru/lechenie/zhidkost-v-pozadimatochnom-prostranstve.html
Ну скажите честно: разве Вас не испугает, если во время проведения УЗИ врач сообщит, что у Вас жидкость в позадиматочном пространстве? У любой пациентки сразу же возникнут вопросы. Что это за субстанция? Должна ли она там находиться и говорит ли ее присутствие о болезни? Насколько это опасно? Расскажем об этой проблеме подробнее.
Позадиматочное пространство (или, как его называют врачи, дугласово) — это сомкнутая полость, которая расположена позади матки и ограничена стенкой брюшины. Свободная жидкость в позадиматочном пространстве собирается в самом нижнем углублении данной полости.
Что значит, если выявлена жидкость в позадиматочном пространстве? Ее присутствие может быть связано с физиологическими причинами — тогда беспокоиться не о чем, она исчезнет сама по себе.
Но в некоторых случаях она все же угрожает женскому здоровью, так как ее появление связано с заболеваниями.
Если своевременно не взяться за их лечение, жидкость может проникнуть в полость брюшины, что повлечет за собой развитие такого опасного состояния, как перитонит.
В дугласовой полости ничего «такого» обнаруживаться не должно. Тем не менее, есть несколько случаев, когда небольшое количество жидкости в позадиматочном пространстве все же может присутствовать, причем это абсолютно нормально и не требует лечения. Виноваты в ее скоплении естественные процессы, которые происходят в организме женщины, а именно:
- заброс небольшой порции крови во время месячных (что совершенно безопасно). При менструации эндометрий вместе с менструальной кровью проникает в брюшную полость;
- овуляция. Когда капсула фолликула лопается, и созревшая яйцеклетка выходит наружу, чтобы встретиться со сперматозоидом, малая часть жидкости, которая при этом выделилась, также способна попасть в пространство позади матки. Спустя пару суток она абсорбируется;
- период полового созревания у девочек и молоденьких девушек.
Если диагност увидел при проведении УЗИ-обследования у пациентки жидкость в позадиматочном пространстве (в незначительном количестве), то он не ставит сразу же окончательный диагноз.
Врач некоторое время наблюдает, как дальше будет развиваться ситуация.
Если при последующем УЗИ обнаружится, что жидкость рассосалась, это указывает на то, что все «идет по плану»: овуляция завершилась нормально.
Все вышеописанные случаи, которые приводят к появлению жидкости в позадиматочном пространстве, не требуют врачебного вмешательства. Совсем иначе следует относиться к причинам, связанным с болезнями. Конечно, жидкость — это только симптом, который может быть признаком таких проблем со здоровьем:
- воспаления в матке. Его характерные симптомы — субфебрильная температура, боль внизу живота, серозно-гнойные выделения. Для лечения будут назначены антибиотики. Симптоматическая терапия проводится с применением обезболивающих, общеукрепляющих средств;
- полипы на матке. Симптомы этой патологии — продолжительная и обильная менструация, кровотечения между месячными, боль при половом контакте, кровянистые выделения после секса, проблемы с зачатием. Лечение может проводиться с помощью гормонов, или полип удаляют гистероскопическим способом;
- заболевания органов, расположенных по соседству с маткой. Так, при пельвиоперитоните в пространстве позади матки оказывается перитонеальная жидкость. Спровоцировать ее появление может больная печень. Такое случается и при сердечной или почечной недостаточности. Органы, в которых начался воспалительный процесс, выделяют экссудат — он «находит» свободное пространство и заполняет его. Лечение зависит от диагноза;
- апоплексия (разрыв) яичника. Ведущие симптомы — резкая боль и кровотечение. Возникает слабость, падает АД, подскакивает температура, случается однократная рвота. Лечение оперативное (лапароскопия);
- эндометриодная киста на яичнике. Из-за микротрещин на поверхности кисты менструальная кровь вытекает из ее полости и может попасть в позадиматочную полость. Определить это заболевание помогают такие симптомы: боль в области живота, сбой менструального цикла, обильные кровотечения при месячных. Консервативное лечение включает прием гормональных препаратов, НПВП, обезболивающих, витаминов и иммуномодуляторов. Если оно не дает результатов, то кисту удаляют (иногда вместе с яичником) или делают пункцию;
- гнойный сальпингит. При разрыве пиосальпинкса гной попадает в брюшную полость и в «карман», расположенный с задней стороны матки. У пациентки развиваются дополнительные симптомы — повышается температура, болит живот. В крови увеличиваются лейкоциты. Требуется срочное хирургическое вмешательство. Будет удалена лишняя жидкость, а затем женщине предстоит длительное лечение, купирующее воспаление, и антимикробная терапия;
- злокачественные опухоли в брюшной полости или малом тазу. При новообразовании, локализованном на яичнике, нередко развивается асцит, и жидкость собирается в дугласовой полости. Лечение комплексное — операция, химиотерапия;
- если женщина сделала аборт, то при проведении УЗД врач также может выявить жидкость в описываемом месте.
Жидкость в позадиматочном пространстве при беременности обнаруживается только в том случае, если оплодотворенная яйцеклетка прикрепилась в неположенном месте, то есть при внематочной беременности.
Это неизбежно приведет к разрыву стенки маточной трубы, из-за чего жидкость и проникнет за матку.
Но «неправильное» зачатие обычно обнаруживается (по боли, ухудшению самочувствия, мажущим выделениям) задолго до того, как накопится излишняя жидкость.
Здравствуйте, подскажите пожалуйста, сделала 2 теста на беременность, оба показали 2 полоски, пошла на узи и вот что мне там выдали: контуры матки четкие, ровные Длинна 52мм ПЗР 43мм Ширина 44мм, Эхострукура миометрия однородная, М-Эхо 14мм соответсвует 2 фазе цикла, Эхоструктура эндометрия неоднородная контуры полости нечеткие, неровные.
На момент осмотра плодное яйцо в полости матки достоверно не сканируется. Шейка матки б/о, левый яичник подтянут к матке разм. 31*22*25 мм, эхоструктура обычная с желтым телос 13мм правый яичник подтянут к матке разм.
27*17*21мм эхоструктура обычная фолликул max 3мм до 8 в ПЗ жидкости в заднем своде нет, после этого взяла цифровой тест показал 2-3 недели беременности, все ли хорошо? очень переживаю за внематочную, беременность желанная
Уважаемая Елена Вячеславовна! На сроке беременности, равном 2-3 недели, плодное яйцо в матке может еще не визуализироваться.
Одним из способов держать ситуацию под контролем является исследование в динамике содержания ХГЧ в сыворотке крови. УЗИ следует повторить только тогда, когда порекомендует Ваш доктор.
Здравствуйте, сложилась такая ситуация,положили в стационар в понедельник 10апреля с угрозой выкидыша на 6 недели,сдала анализы на хгч 347 ,в 6 часов утра 14 апреля началось кровотечение,поставили капельницу и дали принять праджисан,а в 12 часов дня сходила на УЗИ сказали Беременность не обнаружена и поставили выкидыш под вопросом,отменили все препараты,из половых путей ничего не выходило,но позже вышел кровяной сгусток размером в 2 см кровь не останавливалась,но спустя сутки все прекратилось ни болей ни чего не стало,а тут заходит медсестра и запрещает пить обезболивающие препараты,якобы выкидыш не подтверждённый,возможно имеется Беременность,расскажите пожалуйста как такое возможно,Росимущества никто ничего тогда не делал все эти дни чтобы спасти эмбрион?
Уважаемая Анастасия Андреевна! Очень трудно комментировать клиническую ситуацию, не зная всех ее подробностей. При поступлении в стационар Вам проводилось УЗИ? При исследовании была ли обнаружена маточная беременность?
В описываемом Вами случае, видимо, произошла гибель эмбриона и имело место самопроизвольное прерывание беременности на очень малом сроке.
Ультразвуковой метод диагностики обладает определенной разрешающей способностью, плодное яйцо микроскопических размеров при проведении УЗИ может быть не обнаружено. Заочно очень сложно говорить о причинах произошедшего.
Если причиной самопроизвольного прерывания беременности стали генетические заболевания или мутации эмбриона, повлекшие за собой его гибель, сохранить беременность невозможно.
Вам необходимо пройти полное комплексное обследование у гинеколога, на сегодняшний день разработаны и успешно работают схемы поиска причин невынашивания беременности. Рекомендую Вам обратиться к опытному специалисту-гинекологу , и планировать следующую беременность только после проведения обследования.
Анализы пришли хорошие, никаких инфекций не обнаружено. Узи заключение: свободная жидкость в заднем своде по типу множественных серозоцеле 70-80 мл, хрон.двустороннего аднексита. По узи — матка, яичники в норме, не увеличены. На основании всех результатов гинеколог назначила противосполительное лечение: 1.свечи вагинальные флуомизин и гексикон 2.
свечи ректальные ревмоксикам и далмаксин 3.нимесил 4.вальтрекс 5.азицин и юнидокс. После лечения было назначено повторное узи. После лечения легче мне не стало. Тянущие тупые боли, чаще справа, распирающие низ живота.
По вечерам постоянное вздутие, газообразование, дискомфорт в животе, когда лежишь на животе, с правой стороны прощупывается уплотнение, как надувается что-то; бывают мажущиеся выделения коричневого цвета до и после месячных. Частые позывы к дефекации. Недавно появились боли спазматического характера, охватывающие не только низ живота, а и весь живот.
На животе бывает пульсауия над пупком. Месячные стабильные, длительные (в среднем 7 дней), но в последнии дни необильные (мазня). На повторном узи картина не изменилась: хрон.аднкста, множественного серозоцеле в заднем своде 70-80 мл. И первое и второе узи делала на 8 день цикла.
После лечения только уменьшилась эрозия, и стал лучше результат на цитологию: отрицательный на внутриэпителиальные повреждения и злокачественные новообразования (NILM).Врач пишет подозрение на эндометриоз. При осмотре в зеркалах отмечается втянутость заднего свода и резко болезненные ощущения при осмотре бимануалом. Взяли мазок на флору.
Заключение такое: лейкоциты 3-5 в п/з, эпит.клетки — не знач, микрофлора — смеш.умер., слизь,грибы,гоноккоки,трихомонады — не обнаружены. Назначили КТ с контрастом органов малого таза (для подтверждения эндометриоза я так понимаю).
Заключение КТ: кистовидные образования обоих яичников (левый — в его структуре определяется тонкостенное образование размерами 2,6×2,4 см плотностью -2+7 ед.х, не накапливающие контрастное вещество, правый — к нижнему полюсу прилегает образование размером 1.2×1.3 см, плотностью +6+14 ед.х, не накапливающие контрастное вещество.
Буду очень благодарна за помощь!!
Уважаемая Юлия! Вас беспокоят частые позывы к дефекации, вздутие живота и боли, отдающие в прямую кишку. Вы консультировались у проктолога? Проводилась ли ректороманоскопия? Каковы результаты общего анализа крови и кала (копрология)? Определить объем жидкости в дугласовом пространстве при проведении УЗИ можно лишь приблизительно.
Здравствуйте, у меня был один аборт, следом четверо родов, все благополучно, детки здоровы, но вот недавно стало плохо, трясло сильно, бросали в жар, и кружилась голова, темнеет в глазах, тошнота и рвота.
Вызвала скорую, проверили в больнице все, отправили к генткологу, ведь ещё ко всему этому была задержка 10дней, но по УЗИ все хорошо, все в норме, беременности не видно, за исключением врач сказала что есть небольшое скопление жидкости в животике, нужно понаблюдать? Ч о это может быть!? И какие последствия… Спасибо за понимание и ответ!!!
Уважаемая Юлия Михайловна! Небольшое количество свободной жидкости может скапливаться в пространстве между маткой и прямой кишкой во второй фазе менструального цикла, это нормально. В то же время жидкость в дугласовом пространстве может быть признаком воспалительного процесса.
Само по себе скопление жидкости не является заболеванием, оно лишь сопутствует физиологическим или патологическим процессам в малом тазу, поэтому говорить об его опасности или последствиях некорректно, необходимо прежде всего уточнить причину.
Проводили ли Вы тест на беременность с использованием порции мочи? Каковы его результаты? Головокружение, ощущение жара и озноб могут быть признаками воспалительного процесса, поэтому тщательное обследование и наблюдение врача Вам необходимы.
Спасибо большое. Тест конечно проверяла, беременности нет. Да, действительно обследовать нужно. С вами полностью согласна. сегодня была у специалиста, все хорошо, сделали повторное УЗИ, все хорошо.
Как быть! Подскажите пожалуйста! Спасибо большое!!
Заочно невозможно определить тактику в случае выявления эрозии шейки матки. Необходимо проведение кольпоскопии и цитологического исследования, на основании результатов которых врач назначит Вам лечение.
В каких-то случаях при обнаружении эрозии показано динамическое наблюдение, в других — малоинвазивное лечение. Самый надежный источник информации — Ваш лечащий врач.
В спорных случаях всегда можно обратиться дополнительно еще к одному специалисту и узнать второе медицинское мнение, но следовать советам знакомых и не знакомых людей, когда речь идет о здоровье, было бы неправильно.
Источник: https://zdos.ru/prichiny-poyavleniya-svobodnoi-zhidkosti-v-prostranstve-duglasa.html
Регулярное посещение гинеколога – это не прихоть самих докторов. Посещать врача несколько раз в год следует всем представительницам прекрасного пола.
Зачастую женщины пренебрегают этим наставлением и приходят на осмотр только при появлении каких-либо признаков. Однако не стоит выпускать из виду, что некоторые патологии в репродуктивных органах длительное время могут не проявляться.
Так себя ведет жидкость за маткой, обнаружение которой чаще всего становится неожиданностью для женщины.
Наличие свободной воды в Дугласовом пространстве — это не заболевание, но может быть симптомом патологии.
Жидкость за детородным органом или в параовариальных областях скапливается в середине менструального цикла, после наступления овуляционного процесса. Это нормальное явление, не требующее определенного лечения.
Оно означает наступление состоявшегося выхода яйцеклетки из фолликула и возможное наступление беременности.
Достаточно часто свободная жидкость за маткой является признаком патологии внутренних органов женщины. Определить на УЗИ точный объем такого образования крайне сложно, потому что она растекается между репродуктивными органами. Медики разработали определенные критерии, позволяющие оценить состояние жидкости в позадиматочном пространстве (измеряется длина вертикального уровня образования):
- незначительным считается скопление воды до 10 мм;
- от 10 мм до 50 мм — умеренная стадия;
- более 50 мм — значительная.
Объем воды за маткой сопоставляется с менструальным циклом женщины. Если у доктора возникают подозрения по поводу причины наличия большого количества воды за маткой, он может назначить дополнительные инструментальные тесты.
Овуляция — это естественный процесс, при котором происходит скопление воды в Дугласовом пространстве. Она не грозит серьезными проблемами, поскольку образуется небольшое количество жидкости. Овуляционный процесс происходит следующим образом:
- сначала образуются фолликулы;
- один из пузырьков опережает рост других, в нем происходит формирование яйцеклетки;
- жидкостное образование достигает до 20-25 мм в диаметре;
- далее фолликул разрывается, чтобы яйцеклетка покинула оболочку и начала продвигаться к детородному органу.
У здоровой женщины овуляционный процесс происходит ежемесячно. Когда клетка освобождается из фолликула и проходит к матке — это овуляция. В фолликуле находится жидкость, но ее очень мало. При разрыве пузырька вода может проникнуть в брюшную полость.
На УЗИ врач увидит небольшое ее количество, что является нормой. Жидкость через несколько дней рассасывается и не доставляет женщине неудобств.
Кроме овуляции, образование воды в позадиматочном пространстве может произойти по такие естественным причинам, как период раннего полового созревания, месячные.
Жидкость позади матки может быть кровянистой. Такое образование не является нормой. Возникновение кровянистых выделений в Дугласовом пространстве означает наличие патологии, способной привести к образованию апоплексии. Причины появления кровоизлияния:
- разрыв сосуда;
- наличие кисты фолликула;
- киста на яичнике или строма.
После нарушения целостности ткани яичника происходит высвобождение воды в брюшную полость. Образование жидкости кровавого характера в позадиматочном пространстве вызывает боль, слабость, головокружение. При этом у женщины появляются выделения характерного цвета — красного или темно-коричневого.
Жидкость в Дугласовом пространстве может превратиться в сгустки. Основными причинами такого явления являются:
- постоянные травмы;
- жесткий секс;
- поднятие тяжестей;
- гиперемия;
- воспалительный процесс;
- расширенные сосуды.
Нельзя запускать такие патологии. Если девушка знает о наличии заболеваний по женской части, то она должна посещать гинеколога, лечиться, чтобы не допустить апоплексии и последующего проникновения жидкости в позадиматочное пространство.
Образование воды в Дугласовом пространстве часто является причиной какого-то патологического процесса, протекающего во внутренних репродуктивных органах женщины. Врачи выделяют множество заболеваний, способных привести к скоплению жидкости. К ним относятся следующие патологии:
- воспалительный процесс в поверхностном слое эндометрия (эндометрит);
- воспаление в почках, печени, сердечная недостаточность приводят к образованию асцита, в результате которого свободная жидкость стекает в органы малого таза;
- доброкачественные образования, характеризующиеся ограниченным разрастанием эндометрия в виде бугорка на тонкой ножке;
- инфекционное заболевание, сопровождающееся односторонним или двусторонним воспалением маточных труб (сальпингит);
- аднексит (воспаление яичников и фаллопиевых труб);
- оофорит.
Образование жидкости в Дугласовом пространстве может означать наличие внематочной беременности, при которой тест на беременность покажет положительный результат.
Кроме того, такое явление вызывает эндометриоз, возникновение эндометриоидных кист на яичниках, состояние после аборта. Обнаружив на УЗИ скопление жидкости за маткой, не стоит паниковать.
Грамотный врач назначит соответствующее лечение, проконсультирует пациентку и даст рекомендации по тактике дальнейших действий женщины.
Источник: http://ZdorovieLedy.ru/matka/zhidkost-za-matkoj.html
Во время проведения УЗИ малого тазау женщин может быть обнаружена жидкость в позадиматочном пространстве. Иногдаона является нормальным физиологическим явлением, а в некоторых случаях –свидетельствует о патологическом процессе. Причину появления жидкости выясняютпри комплексном обследовании организма.
Позадиматочное пространство локализуется в брюшной полости, за маткой. В медицине его также называют Дугласовым пространством. В определенные дни менструального цикла скопление жидкости в этой области считается нормой. В других случаях оно указывает на наличие гинекологического заболевания.
Жидкость позади матки можно обнаружить при проведении ультразвукового исследования. Чтобы уточнить природу ее происхождения, требуется провести пункцию. Ее делают во время лапароскопической операции. Забор материала осуществляют шприцом объемом 20 мл.
При необходимости, процесс взятия материала сопровождается ультразвуковым мониторингом. Это позволяет избежать повреждения сосудов малого таза. Полученный образец жидкости отправляют на лабораторное исследование.
Дополнительно берется влагалищный мазок и проводится анализ крови.
Недостаточное количество материала,взятого во время пункции, не свидетельствует об отсутствии патологий. Заборукрови может препятствовать спаечный процесс в области малого таза. В этомслучае диагноз уточняется посредством других лабораторных исследований.
Овуляцией называют период повышения фертильности у женщины. Он сопровождается выходом яйцеклетки в брюшную полость. В норме он приходится на середину менструального цикла. В первую половину цикла яйцеклетка зреет в плотной капсуле фолликула.
Она окружена фолликулярной жидкостью. Во время овуляции стенки фолликула надрываются, в результате чего его содержимое попадается вместе с яйцеклеткой в позадиматочное пространство. Этому процессу способствует резкий скачок уровня ЛГ в организме.
Помимо жидкости, должно присутствовать желтое тело в том яичнике, где созревала яйцеклетка.
Жидкость может попадать в позадиматочное пространство по ряду причин. Если она присутствует на протяжении всего менструального цикла, то речь идет о заболеваниях половой системы. К наиболее распространенным причинам скопления жидкости за маткой относят:
- аднексит (Подробнее об аднексите здесь) ;
- осложнения внематочной беременности;
- кистозное образование(Подробнее о фолликулярной кисте и о поликистозе);
- перитонит;
- овуляторный синдром;
- гиперстимуляция придатков;
- эндометриоз;
- водянка яичника;
- злокачественные образования.
Если природа происхождения жидкости патологическая, женщина замечает возникновение и других симптомов. Чаще всего заболевания половых органов сопровождаются болью внизу живота. К ней может добавляться специфический запах влагалищных выделений и проблемы с мочеиспусканием. Также ухудшается общее самочувствие. Может наблюдаться субфебрильная температура тела.
Аднексит у женщин: Симптомы, причины и лечение
Проникновение жидкости в позадиматочное пространство может быть спровоцировано воспалительным процессом. Он затрагивает следующие органы половой системы:
- мочевой пузырь;
- матка;
- придатки;
- фаллопиевы трубы.
Воспаление возникает припереохлаждении половых органов или в результате развития инфекционныхзаболеваний. Если после овуляции жидкость рассасывается самостоятельно, то привоспалении потребуется лечение.
Первоначально проводятся исследования,позволяющие определить причину воспалению. Анализ крови покажет увеличениечисло лейкоцитов и показателя СОЭ. В зависимости от результата, подбираетсяспособ лечения.
Медикаментозная терапия включает всебя прием антибиотиков. Их вводят внутривенно или внутримышечно. Лечениеосуществляют в стационаре. Дополнительно проводится витаминотерапия.
Еслипоявление жидкости обусловлено наличием гнойника, проводят операцию, в ходекоторой очаг воспаления устраняют. Для профилактики спаечного процессаназначают применение вагинальных свечей Лонгидаза. Дополнительно проводят физиотерапевтическоелечение.
Курс включает в себя 7-10 процедур магнитотерапии, электрофореза иливоздействия ультразвуком.
Кровоизлияние в брюшную полостьтребует неотложного вмешательства медиков. Такое состояние считается крайнеопасным для здоровья и жизни женщины. Кровь скапливается за маткой в случаесерьезного повреждения яичников, маточных труб или органов пищеварения. Длятакой ситуации характерны следующие симптомы:
- боль в нижней части живота и поясницы;
- ослабленное состояние;
- головокружение, потеря сознания;
- кровянистые выделения из влагалища.
К физиологическим причинамскопления крови за маткой относят менструацию и послеродовой период. В этихслучаях ультразвуковой мониторинг проводят только при наличии острой необходимости.
Патологическое скопление крови может быть спровоцировано разрывом маточной трубы в результате внематочной беременности. Разрыв обусловлен ростом плода в нетипичном для него месте. Такое случается при непроходимости труб или нарушения их сократительной способности.
Чтобы вовремя диагностировать аномальное расположение эмбриона, требуется посетить кабинет УЗИ и проанализировать динамику гормона ХГЧ (Подробнее о ХГЧ здесь) . Согласно статистическим данным, чаще всего патологическую беременность диагностируют до момента разрыва трубы.
После обнаружения крови в Дуглассовом пространстве потребуется хирургическое вмешательство. Первоначально принимаются меры по откачиванию крови. Следующим шагом устраняется очаг проблемы. При внематочной беременности удаляют часть маточных труб.
Хгч по дням после овуляции
Скопление крови в Дуглассовомпространстве нередко сопровождается маточным кровотечением. К возможнымпричинам его появления относят:
- угроза выкидыша;
- внематочная беременность;
- разрыв матки или яичника;
- дисфункция яичников;
- эндометриоз;
- патологические образования на шейке матки;
- опухолевидный процесс;
- кровотечение после абортативного вмешательства.
Чаще всего женщины принимаютматочное кровотечение за гормональный сбой, сопровождающийся сдвигомменструации. Но причины патологического процесса могут быть более серьезными.
Поэтому важно посетить гинеколога сразу после обнаружения подозрительнойсимптоматики. Особую опасность несут выделения, появившиеся при беременности.
Ониуказывают на угрозу прерывания или внематочное расположение плодного яйца.
Разрыв придатка, матки иликистозного образования может быть спровоцировано активным половым актом,чрезмерными физическими нагрузками или травмированием. В этом случае боль будетиметь острый характер. На этой почве женщина способна потерять сознание.
Источник: https://Ovulyaciya.com/zhenskoe-zdorove/zhidkost-v-pozadimatochnom-prostranstve-duglassovo-prostranstvo-prichiny-lechenie-posledstviya
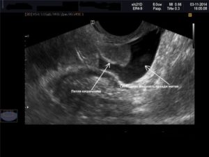
Ультразвуковое обследование внутренних органов женской половой системы – информативный метод ранней диагностики заболеваний матки и яичников. Помимо измерения размеров органов, оценки их структуры и эхогенности, врачи-сонологи исследуют в позадиматочном пространстве жидкость. Известно, что она встречается как в норме, так и при патологии.
«Дугласово» пространство (карман, углубление) – анатомическая структура, которая характеризует углубление в малом тазу между задней стенкой матки и прямой кишкой у женщин. Его стенки покрыты брюшиной, которая в норме или в ответ на повреждающие факторы может продуцировать определенное количество жидкости.
На УЗИ жидкость за маткой определяется на анэхогенное (черное) включение неправильной формы в малом тазу без кровеносных сосудов. Достоверно определить объем крайне сложно, поскольку «Дугласов» карман не имеет постоянной или правильной формы, а его содержимое постоянно перемещается.
Причины появления транссудата в прямокишечно-маточном кармане условно делятся на физиологические и патологические. К последним относят различные воспалительные и опухолевые процессы в яичниках, матке или брюшной полости.
Скопление транссудата в дугласовом углублении само по себе не несет особого вреда. Большую опасность составляют заболевания, при которых могут наблюдаться подобные изменения.
Осмотр анатомического углубления перед прямой кишкой осуществляется при продольном сканировании, когда полностью выведено тело и шейка матки.
Врач может косвенно определить уровень жидкости или объем.
В последнем случае необходимо использовать две проекции, чтобы получить три взаимно перпендикулярных размера, произведение которых потом следует умножить на специальный коэффициент – 0,523.
.
Источник: https://uzi.guru/mal-taz/womns/metr/f/v-pozadimatochnom-prostranstve-zhidkost.html
Поделиться:








