Надпочечники играют важную роль в организме человека. Они выступают в роли защиты организма от стрессовых ситуаций. Также они регулируют выработку гормонов.
Если надпочечники здоровы, то человек находится в хорошем настроении и не чувствует усталости. Однако, надпочечники, как и другие органы подвержены появлению различных патологий.
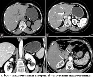
Чтобы выявить заболевание, нужно пройти диагностические исследования.
Распространенными и современными являются КТ и МРТ надпочечников. Многих пациентов интересует, какой из данных методов лучше? Для этого нужно рассмотреть оба диагностических метода, а также изучить их достоинства и недостатки.
КТ (компьютерная томография) – метод, основанный на рентгеновских лучах. С помощью него можно исследовать надпочечники и выявить различного рода патологии, а также новообразования.
Ранняя диагностика заболеваний надпочечников достаточно важна. Они продуцируют гормоны.
При удалении надпочечников без постоянного врачебного вмешательства и употребления гормональных препаратов человеку грозит смерть.
Показаниями для применения данного метода являются:
- Диагностика новообразований.
- При наличии опухолей, определение местоположения и стадии развития.
- Диагностика кист.
- Установление места травмы после перенесенной аварии.
- Наличие метастазов.
- Эндокринные заболевания.
КТ противопоказано в период беременности и кормлении грудью. Также не рекомендуется применять детям до 12 лет. В таком случае исследование проводится только в срочном порядке. При проведении процедуры с контрастным веществом процедура запрещена пациентам с аллергией на йод, гипотиреозом и бронхиальной астмой. КТ надпочечников не рекомендуется делать чаще, чем раз в год.
Особой подготовки к исследованию не требуется. В основном процедура проводится натощак. За несколько дней до КТ не следует употреблять газообразующие продукты и алкоголь.
При проведении процедуры врачи получают трехмерное изображение исследуемого органа. Снимки проводятся в виде срезов. Отсюда, специалист можно рассмотреть каждый кусочек органа и составить общую картину.
МРТ (магнитно-резонансная томография) – метод исследования, основанный на магнитном излучении. Способствует получению томографических изображений. МРТ позволяет показать, если ли поражения надпочечников, новообразования и метастазы.
Процедура проводится, как с контрастным веществом, так и без него. Контраст вводится внутривенно. Обязательным показанием введение контрастного вещества является подозрение на наличие новообразований и других опасных патологий. Это позволяет определить структуру и размер опухоли.
В первую очередь, МРТ надпочечников показано людям, у которых имеются различные эндокринные заболевания, связанные с данными органами. Также исследование проводятся людям, у которых имеются внешние изменения, не характерные для их пола.
Противопоказаниями являются:
- Наличие имплантатов, осколков и кардиостимуляторов в организме.
- Аллергическая реакция на контрастное вещество.
- Беременность (первый триместр).
- Клаустрофобия.
Наличие металлических частиц в организме может привести к изменению магнитных полей в аппарате. У специалистов всегда должны находиться противоаллергические препараты, которые помогут устранить аллергические реакции.
Особой подготовки для данного исследования не требуется. Единственное, от чего следует воздержаться перед исследованием – это употребление газообразующих продуктов.
Многих интересует, какой из методов лучше при проблемах с надпочечниками. Оба исследования предоставляют достаточно объемную информацию при проблемах с надпочечниками.
Они дают возможность определить заболевание и выявить причину нарушения работы. МРТ является более безопасным методом, так как на организм человека не оказывается лучевого воздействия. При КТ излучение способно менять структуру клеток.
Естественно, каждый из методов имеет ряд особенностей.
https://youtube.com/watch?v=ABy8Dytfo60
МРТ имеет следующие особенности перед КТ:
- МРТ более безопасно и не имеет рентгеновского излучения.
- Хорошо визуализирует мягкие ткани.
- Позволяет определить доброкачественная или злокачественная опухоль.
- Возможно проведение во 2 и 3 триместре беременности.
- Возможно проведение детям.
КТ, в свою очередь, оказывает вредное воздействие на организм, запрещено беременным женщинам, а также детям до 12 лет.
Несмотря на ряд преимуществ, МРТ имеет и отрицательные стороны:
- Необходимо длительное время находиться в томографе.
- Сильный шум при работе томографа.
- Нельзя использовать людям, имеющим металлические имплантаты.
МРТ в основном проводится уже после получения результатов УЗИ и КТ. Также КТ стоит гораздо дешевле. Обычно врачи максимально пытаются сократить траты пациента.
При КТ специалист может увидеть не только орган, но и рентгеновскую плотность, которая меняется при некоторых заболеваниях. При магнитно-резонансной томографии костные ткани не просвечиваются. Обычно врачи предпочитают назначать КТ при проблемах с надпочечниками. К МРТ прибегают в том случае, если пациенту запрещено рентгеновское воздействие.
Таким образом, оба метода достаточно информативны при проблемах с надпочечниками. Они позволяют определить наличие новообразований и других патологий, а также поставить диагноз пациенту. Каждый имеет преимущества и недостатки.
Однако выбор метода должен осуществляться врачом индивидуально для каждого пациента. При проблемах надпочечниками лучше назначать компьютерную томографию, но могут быть противопоказания, при которых следует выбрать другой аналогичный метод.
Источник: https://vchemraznica.ru/kakoj-metod-luchshe-i-effektivnee-kt-ili-mrt-nadpochechnikov/
Мрт надпочечников – это неинвазивное и безопасное исследование, направленное на выявление любых патологий надпочечников, в первую очередь опухолей. Среди специалистов эта методика считается наиболее информативной. МРТ позволяет визуализировать даже самые небольшие по размерам патологические изменения как в самих органах, так и в находящихся рядом с ними тканях.
Надпочечники – небольшие, но очень важные парные железы, которые, исходя из названия, расположены над почками и играют важную роль в регуляции обмена веществ организма. Гормоны, которые они вырабатывают, влияют не только на метаболизм, без их участия невозможно было бы развитие некоторых половых признаков.
Симптоматика патологий, возникающих в надпочечниках очень схожая у разных болезней, что затрудняет диагностику. Причём многие заболевания в этой области протекают бессимптомно вплоть до того момента, когда патологические изменения не стали тяжёлыми и даже необратимыми, а также не возникли серьёзные осложнения.
Исследование проводится при подозрении на наличие опухолей, травматических повреждениях, эндокринных нарушениях организма. Сканирование может потребоваться перед и после хирургического вмешательства для координации действий специалиста и отслеживания динамики здоровья пациента после предпринятых терапевтических мер.
Самый частый повод для направления на МРТ — это отклонение от нормы уровня гормонов надпочечников выявленное в лабораторных анализах крови. Поводом также может стать необходимость уточнения данных других инструментальных исследований (КТ, УЗИ).
Признаками нарушения работы желез могут быть:
- отёчность конечностей и лица;
- выпадение волос;
- появление во внешности человека черт противоположного пола;
- бессонница или, наоборот, постоянное желание спать;
- головные боли и головокружения;
- повышенное артериальное давление, а также его резкие перепады;
- тахикардия;
- эмоциональная подавленность и депрессивное состояние пациента;
- резкие перепады настроения и другие.
Наиболее частое показание для проведения Мрт надпочечников — это подозрение на наличие опухолей. Такое исследование наиболее эффективно с применением контрастного усиления. Мрт надпочечников с контрастом покажет размер, форму и границы новобразования, его структуру, а также вовлеченность находящихся рядом органов и мягких тканей.
Использование контрастного вещества при магнитно-резонансной томографии относительно безопасно, оно самостоятельно без принятия каких-либо дополнительных мер выводится из организма, не накапливается в тканях и не оставляет следов.Тем не менее, контрастирование противопоказано при тяжёлых заболеваниях печения и почек, в первом триместре беременности и при индивидуальной непереносимости компонентов контраста, которая, впрочем, встречается довольно редко.
Исследование показывает изменение структуры желез и наличие в них воспаления.
Причины структурных изменений – это в основном доброкачественные или злокачественные опухоли желез (аденома, феохромоцитома, нейробластома, ганглионеврома и другие).
Воспаления могут быть вызваны травмированием органа, в таком случае МРТ покажет наличие или отсутствие кровоизлияния в надпочечники. Иногда выявляются кальцинаты.
Опухоли, которые могут продуцировать гормоны, не всегда располагаются в самих надпочечниках. Например, феохромоцитомы в 10% случаев находятся в соседних органах. Потому для дальнейшего поиска может потребоваться проведение МРТ других отделов – забрюшинного пространства, брюшной полости, грудной клетки.
Многие задаются вопросом, какое выбрать исследование: МРТ или КТ надпочечников. Ведь оба этих метода безболезненные и современные, дают точные результаты. МРТ и КТ позволяют определить размер органов, структуру тканей и выявить опухолевые образования. Но они не одинаково информативны и безопасны, имеют ряд особенностей.
- МРТ не использует при сканировании вредного рентгеновского излучения;
- лучше, чем КТ визуализирует мягкие ткани и сосуды;
- позволяет дифференцировать доброкачественные опухоли от злокачественных;
- разрешено проведение при беременности (кроме первого триместра);
Тем не менее, Мрт надпочечников обычно проводится уже после получения данных КТ или УЗИ в случаях, когда требуется более детальное или чёткое изображение для постановки точного диагноза. МРТ стоит несколько дороже, чем КТ и УЗИ, поэтому врачи стараются обойтись меньшими затратами для пациента. При подозрениях на наличие опухоли обычно применяется МРТ, как и при сосудистых патологиях.
В то же время магнитно-резонансная томография обладает и недостатками:
- необходимо длительное время находиться в томографе в неподвижном состоянии;
- высокий уровень шума, производимый томографом;
- противопоказана лицам с имплантированными электронными устройствами, на которые может подействовать магнитное поле томографа…
Только специалист может определить, какая именно диагностика будет лучше в вашем случае.
Подготовка к исследованию не занимает много времени. Обычно специалисты рекомендуют придерживаться следующих правил:
- за сутки до процедуры отказаться от слишком жирной и острой пищи, фастфуда, алкоголя, газировки, продуктов, вызывающих повышенное газообразование;
- за 6-8 часов до диагностики нужно полностью отказаться от еды, чтобы проводить сканирование на голодный желудок;
В некоторых случаях, когда исследование нужно провести немедленно, сканирование делается без предварительной подготовки пациента.
Одежда на человеке внутри томографа не должна сковывать движения и перетягивать тело, содержать металлические части. Также на пациенте не должно быть металлических украшений, часов, а в карманах содержаться каких-либо электронных устройств и изделий из металла или сплавов.
Сама процедура сканирования проводится в несколько этапов:
- Предварительная консультация. Врач исследует больного, выясняет, можно ли проводить МРТ-сканирование.
- Введение контрастного вещества, проводящееся непосредственно перед диагностикой. Делается в случаях, когда это необходимо, например, при подозрении на сосудистые и опухолевые патологии.
- Сама процедура сканирования. Человек ложится на подвижную кушетку, на которой фиксируется специальными ремнями. В течение 15-20 минут, когда длится процедура, пациент должен сохранять полную неподвижность, чтобы получились чёткие снимки.
- После окончания диагностики кушетка выезжает из трубы томографа, человека освобождают от ремней. Теперь необходимо немного подождать, чтобы удостовериться, что сканирование прошло успешно и все данные записались.
- Обработка результатов. Специалист обрабатывает полученные данные, на основании которых распечатывает или записывает на электронный носитель снимки, при необходимости строит трёхмерное изображение проблемной зоны, что позволяет чётче визуализировать патологию.
После этих манипуляций человек может вести привычный образ жизни, проходить дальнейшее обследование и лечение. Полученные при МРТ сканировании данные в большинстве случаев дают возможность поставить точный диагноз даже на ранних стадиях болезни, поэтому можно своевременно начать лечение недуга и избежать многих негативных последствий.
Источник: https://mrt-kt.info/vidy-mrt/bryushnoy-polosti/nadpochechnikov/
Кт надпочечников с контрастом представляет собой прогрессивный диагностический метод, позволяющие узнать точную информацию о состоянии мочевыводящих путей пациента.
Оно предоставляет трехмерное изображение, получающееся вследствие лучевого сканирования. МРТ почек и надпочечников позволяет узнать о начале развития заболевания, выявить опухоли даже самых мелких размеров.
На КТ и МРТ видны образования и другие патологии на обоих надпочечниках.
Лечит надпочечники эндокринолог. Симптомы болезней этих органов – скачки давления, ухудшение самочувствия, ухудшение аппетита, внешние проявления (лишние волосы и грубый голос у женщин, снижение полового влечения).
Рассмотрим, что это такое — КТ с контрастированием. Специалист благодаря исследованию может выявить нарушения работы органов на ранних стадиях, что может значительно облегчить дальнейшее лечение. Обычно процедуру назначают больным с подозрениями на образования надпочечников злокачественного характера.
КТ почек и надпочечников необходимо, чтобы выявить следующие явления:
- Раковые опухоли;
- Необходимость в операции;
- Степень поражения органов;
- Оценка увеличения лимфатических узлов.
Также проведение компьютерной томографии надпочечников назначают непосредственно перед операцией на этот орган. КТ нужно в том случае, если пациент обнаружил неожиданный и неподдающийся контролю рост волос на теле.
Надпочечники вырабатывают определенные гормоны, а сбои в этом процессе выражаются внешне. Уменьшается либидо, наблюдаются скачки давления, происходит общее ухудшение самочувствия.
КТ помогает вовремя выявить проблему и начать незамедлительное лечение.
КТ надпочечников не представляет опасности, но существует ряд противопоказаний из-за лучевого воздействия:
- Беременность;
- Возраст менее 12 лет;
- Аллергические реакции;
- Подозрения на почечную недостаточность и эндокринные заболевания;
- Вес более 150 кг;
- Наличие имплантатов, кардиостимуляторов, протезов из металла;
- Сахарный диабет.
Также специалисту нужно сообщить об употреблении всех препаратов, так как они могут вступить с реакцию с контрастом, что может представлять опасность для жизни.
Подготовка к проведению КТ надпочечников должна быть тщательной. При отсутствии контрастирования в пище и воде ограничения отсутствуют. Если предполагается обследование надпочечников с контрастом, не стоит добавлять в рацион перед процедурой острые и жирные блюда, перестать употреблять алкоголь, кофе и чай за 4-5 часов. Полностью нельзя есть и пить за 2,5-3 часа.
Также подготовка к КТ надпочечников перед входом в кабинет предполагает снятие украшений из металла, отсутствие сотового телефона и другой техники. Исследование продолжается от 45 до 50 минут.
Рассмотрим, как делают КТ. Пациент располагается на движимом столе, который перевозит человека в аппарат-томограф. Лаборант и доктор остаются в другом помещении. Томограф предполагает связь между пациентом и врачом, чтобы ухудшение состояния из-за процедуры не оставалось без внимания.
Человек должен находиться в обездвиженном положении, поэтому иногда используют ремни. По команде специалиста пациент перестает дышать несколько секунд. На экране появляется изображение, с помощью которых доктор видит состояние органов и оценивает степень патологии. Благодаря сканированию получаются снимки для более точного исследования.
КТ почек с контрастом необходимо для точных результатов. Оно располагается в области надпочечников, что помогает получить хорошие снимки.
Его вводят внутривенно во время сканирования или за несколько часов до нее. В составе контрастности находится йод, поэтому пациентам, страдающим от аллергических реакций, применять его запрещено.
Оно безвредно для человека, не влияет на работу органов и выводится через день или два.
Рассмотрим, что показывает КТ. Исследование демонстрирует расположение органов, структуру тканей, плотность, наличие опухолей, их размеры и остальные патологии. Результаты КТ позволят выявить следующие заболевания:
- Липома или киста,
- Аденома,
- Злокачественная опухоль.
КТ является неинвазивным исследованием, поэтому риск осложнений и последствий очень мал. При проблемах во время процедуры можно сразу связаться с врачом. Доза радиоактивных лучей минимальна, поэтому не оказывает негативного влияния на организм. Снимки и объемные изображения позволяет с максимальной точностью произвести оценку состояния и поставить верный диагноз.
Иногда лучевая радиация может спровоцировать рост и метастазирование злокачественного образования. Необходимы перерывы между исследованиями, чтобы производить оценку состояния опухоли. При использовании контраста возможен аллергический шок, поэтому специалист подготавливает противоаллергенные препараты.
Рассмотрим, где сделать КТ надпочечников. По страховому полису его можно провести на бесплатных условиях, но доступно оно не всем. Обычно это предполагает длительное ожидание своей очереди. При этом оборудование преимущественно старое. Иногда КТ входит в стоимость нахождения в стационаре. Платно исследование можно провести в любой клинике.
Компьютерная томография надпочечников стоит примерно 3-6 тыс. руб. Цена зависит от оборудования, использования контраста, наличия построения трехмерного изображения и записи данных на диск.
МСКТ обычно назначают при подозрениях на гиперплазию, так как исследование визуализирует органы и позволяет заметить даже небольшие морфологические изменения.
Длительность исследования – 10-15 минут. Человек ложится на стол. Устанавливается катетер с контрастом. Его подключают к автоматическому впрыскивателю.
МСКТ позволяет увидеть размеры, края, внутреннюю структуру и плотность органов.
Процедура необходима для определения степени поражения органов, увидеть наличие опухолей и метастазов, их распространение. Мрт надпочечников также можно провести с использованием контраста, который вводится внутривенно.
При опасных заболеваниях и подозрениях на опухоль применять вещество нужно обязательно. Оно основано на магневисте, гадолинии и других растворах. В МРТ, в отличие от КТ, не используют контраст с йодом, поэтому риск аллергии меньше.
Контрастирование поможет позволять определить злокачественность образования, выявить ее структуру. Такая опухоль должна быть неоднородной, ее грани нечеткими, поверхность бугристая. Контраст вводят перед МРТ.
Показания к проведению Мрт надпочечников следующие:
- Перемены во внешности, нехарактерные для определенного пола. Например, лишние волосы на теле и лице, грубый голос у женщин;
- Гипертония, появившаяся из-за патологий работы почек;
- Ожирение;
- Отклонение от нормального показателя гормонов, которые вырабатываются надпочечниками;
- Подозрения на опухоли в надпочечниках.
Рассмотрим, как подготовиться к Мрт надпочечников. Подготовка к Мрт надпочечников предполагает определенные ограничения.
Перед процедурой не стоит употреблять пищу, вызывающую повышенное газообразование: жирные и острые блюда, фастфуд, газировки, спиртосодержащие напитки, шоколад и выпечку. При хроническом запоре нужно употребить слабительное.
Лишние газы могут исказить снимки, что затруднит дальнейшую диагностику. Не следует есть за 2,5-3 часа до Мрт надпочечников с контрастом. Не стоит заходить в кабинет с сотовым телефоном и украшениями из металла.
Человек ложится на движимый стол, ему вводят контраст. При необходимости закрепляют руки и ноги ремнями. Пациент отправляется на столе внутрь аппарата. Там есть средство связи с врачом. Процедура длится 45-55 минут.
Магнитно-резонансное исследование покажет изменения, связанные с органами. Надпочечники должны иметь однородную структуру, четкие границы, линейную и треугольную форму. Толщиной орган не должен превышать 10 мм, а ножки пять мм. При наличии опухолей их можно легко заметить на снимках.
Рассмотрим, КТ или Мрт надпочечников отдают предпочтение специалисты. Оба исследования предоставляют объемные сведения, помогающие диагностировать причину сбоя в работе надпочечников и определить заболевание. При МРТ на человека не идет лучевая нагрузка, которая может отрицательно сказываться на деятельности органов и менять структуру клеток. Это исследование является более безопасным.
При КТ специалист может увидеть не только ткани, но и их рентгеновскую плотность, меняющуюся при болезнях, что лучше при диагностике. Магнитно-резонансная томография лучше различает ткани, но при этом не видно костей.
Обычно для диагностирования болезней надпочечников применяют КТ или МСКТ. МРТ назначают, если лучевая нагрузка категорически запрещена, также ее применяют для детей и иногда для беременных женщин.
МРТ или КТ необходимо каждому конкретному пациенту решает врач.
Источник: https://pro2pochki.ru/nadpochechniki/kt-ili-mrt
Краткое содержание статьи:
- Показания и противопоказания
- Что показывает КТ надпочечников
- Как подготовиться к КТ надпочечников
- Как делают КТ надпочечников
- Кт надпочечников с контрастированием
- Расшифровка и заключение врача
- Частые вопросы пациентов
- Где сделать КТ надпочечников?
Исследовать железы внутренней секреции довольно трудно, а от их нормального функционирования зависит работа всех систем жизнеобеспечения организма. Один из наиболее информативных методов диагностики желез считается компьютерная томография.
Сделать КТ надпочечников рекомендуют для своевременного выявления опасных патологий, которые при дальнейшем развитии приведут к затяжным болезням. Пройти компьютерное исследование надпочечников предлагают диагностические центры и клиники.
Краткое описание:
Продолжительность обследования – от 30 сек. до 3 мнут, с контрастированием – до 20 минут.
Применение контраста – требуется практически всегда.
Противопоказания – есть.
Предварительная подготовка – нет.
Время выдачи заключения – 20-30 мин.
Ограничения – масса пациента до 200 кг.
Диагностика детям – от 14 лет.
Компьютерная томография надпочечников назначается по следующим показаниям:
- Наличие аномалий в развитии желез.
- Сосудистые нарушения (атеросклероз, тромбоз и пр.).
- Наличие камней в почках.
- Наличие инородных тел в поясничной области.
- Новообразование злокачественной или доброкачественной этиологии (киста, аденома, раковая опухоль).
Противопоказания к проведению исследования:
- Психические заболевания, влияющие на поведение больного.
- Беременность на всех сроках.
- Период грудного вскармливания.
- Почечная недостаточность.
- Аллергия.
- Клаустрофобия.
- Эндокринные заболевания.
- Масса пациента свыше 200 кг.
Компьютерная томография эндокринных желез позволяет определить их расположение, оценить форму и установить плотность тканей. На фоне четкого изображения железы круглыми или овальными областями выделяется аденома надпочечника. Данная патология выявляется на КТ с 98% точностью.
А – аденома (стрелка) правого надпочечника; Б – синдром Кушинга, кортикостерома правого надпочечника.
Гиперплазия надпочечников, которая также хорошо диагностируется томографией, характеризуется на снимках заметным увеличением объема желез. Форма органов при этом не отклоняется от нормы. Патология развивается в коре надпочечников и достаточно трудно диагностируется традиционными методами обследования.
При обычном томографическом исследовании подготовка к КТ надпочечников не требуется.
Единственное условие – на пациенте в момент нахождения в аппарате не должно быть никаких металлических изделий и вещей из металлических сплавов.
О наличии в теле ортопедических металлических конструкций, кардиологических аппаратов, инсулиновых помп и других приборов пациент должен уведомить диагноста заблаговременно.
Подготовка к исследованию с контрастом заключается в следующем:
- Пациент должен прийти на процедуру натощак. Прием пищи непосредственно перед походом в диагностический кабинет может вызвать нежелательные осложнения в виде тошноты.
- Пациент должен уведомить диагноста о наличии аллергических заболеваний, если таковые имеются. Контрастный препарат может вызвать аллергическую реакцию. Поэтому не лишним будет сделать тест на препарат заранее.
Более подробный инструктаж о том, как подготовиться к КТ надпочечников пациенту должен дать врач, направляющий его на обследование.
Диагностика выполняется на специальном аппарате – томографе. Аппарат оснащен подвижным столом, на который укладывают пациента. Если назначено КТ с контрастом, то в вену обследуемому вводят контрастирующий препарат. После этого стол задвигается внутрь аппарата, а врач-рентгенолог выбирает область обследования и задает режим работы томографа.
Сканирование продолжается несколько минут и сопровождается небольшим гулом. Делая спиральные обороты вокруг стола, сканер отправляет на компьютер снимки слое в хронологическом порядке. Диагност на экране компьютера моделирует трехмерное изображение желез и оценивает их состояние. Послойные снимки помогут проанализировать внутреннее состояние органа.
КТ надпочечников с контрастом назначается при наличии спорных моментов, когда диагност сомневается в оценке выявленной патологии. Контрастный препарат имеет в своем составе слаборадиоактивные компоненты, которые, накапливаясь в пораженных клетках, делают границы патологического участка четко видимыми на снимках.
Кт надпочечников с контрастированием незаменимо при исследовании различных новообразований. Контрастный препарат позволяет выявить очаги развития опухолей и кист еще на стадии формирования. Также с помощью контраста устанавливают места локализации метастаз, проросших в надпочечники из других органов.
Заключение врача-рентгенолога пациент получает примерно через полчаса после прохождения обследования. Человеку, прошедшему процедуру КТ, выдают на руки рентгенографический снимок с послойными изображениями железы, расшифровка этих изображений и заключение, включающее в себя выявленные патологии и отклонения от нормы.
При получении результатов диагностики, пациенту выдаются рекомендации, к какому врачу следует обратиться для лечения выявленных аномалий. Не стоит искать в заключении точно поставленного диагноза. Его там не будет. Диагноз поставит лечащий врач или профильный специалист на основании результатов пройденной томографии.
– Во-первых, разница в самом методе исследования. Компьютерный томограф сканирует органы с помощью рентгеновского излучения, а магнитно-резонансный – с помощью разночастотных магнитных импульсов. КТ лучше диагностирует плотные структуры (опухоли, кисты, гематомы), МРТ лучше «видит» изменения в мягких тканях и патологии, имеющие рыхлую структуру.
– Цена компьютерного обследования надпочечников начинается от 3000 рублей. Диагностика с контрастом обойдется порядка 5000-6000 рублей. Однако сейчас московские клиники часто проводят скидочные акции, позволяющие пройти диагностику по более низким расценкам.
– Невозможно однозначно сказать, какой из этих двух методов обследования лучше, а какой хуже. И КТ, и МРТ создавались для высокоточного исследования заболеваний внутренних органов.
И каждый из этих методов способен практически безошибочно выявить большинство трудно диагностируемых патологий.
В ряде случаем, при наличии противопоказаний к проведению КТ врач может заменить ее магнитно-резонансной томографией.
Сделать КТ надпочечников можно в диагностических клиниках и центрах, а также в профильных научно-исследовательских институтах. Адреса этих учреждений собраны в единой базе на нашем портале.
Источник: http://kt-inform.ru/kompyuternaya-tomografiya-nadpochechnikov.html
Компьютерная томография или КТ надпочечников – метод диагностики патологий, связанных с нарушениями секреции альдостерона, кортизола, катехоламинов и других гормонов надпочечников. Причиной болезни могут быть эндокринные расстройства, наследственные заболевания или опухоли.
Томография — это безопасная, неизвазивная (бескровная) амбулаторная процедура (чтобы сделать КТ надпочечников, необходимо посетить медицинское учреждение), не требующая госпитализации или сложных медицинских манипуляций.
В основе метода – использование рентгеновских лучей и компьютерных алгоритмов обработки данных.
Надпочечники – парный орган эндокринной системы, отвечающий за секрецию жизненно важных биологически активных веществ (гормонов).
Располагается, как понятно из названия, над верхушками почек, в непосредственной близости от них.
Гормоны, секретирующиеся надпочечниками, отвечают за регуляцию всех видов обмена, артериального давления, стрессовые реакции, участвуют в синтезе половых гормонов.
Нарушение функции надпочечников приводит к возникновению различных эндокринных патологий. Нередко причиной эндокринного расстройства становятся доброкачественные или злокачественные опухоли этого органа.
Компьютерная томография используется для диагностики следующих патологий надпочечников:
- Доброкачественные и злокачественные опухоли;
- Болезнь Аддисона (недостаточность коры надпочечников);
- Болезнь Иценко-Кушинга;
- Врожденная гиперплазия коры надпочечников;
- Повышенная секреция альдостерона, синдром Кона:
- Сниженная секреция альдостерона;
- Некроз, кровоизлияния в ткани надпочечников.
Сделать КТ надпочечников необходимо при наличии следующих жалоб у пациента:
- Растяжки на коже тела, рук, бедер;
- Гиперпигментация кожи;
- Избыточное оволосение, нарушение менструаций у женщин;
- Тревожные состояния, стойкая депрессия;
- Сильная слабость, утомляемость, усугубляющаяся со временем вплоть до невозможности поддерживать вертикальное положение тела;
- Потемнение (пигментация) десен, внутренней поверхности щек;
- Чрезвычайно высокое артериальное давление, тахикардия.
Инциденталомы — бессимптомные доброкачественные или злокачественные опухоли надпочечников, обнаруживающиеся случайно, в ходе обследования по другому поводу (например, при КТ почек у пациентов с мочекаменной болезнью). Обнаруживаются в 1,3% случаев при проведении КТ органов брюшной полости.
Компьютерная томография почек и надпочечников – рентгеновский метод диагностики, использующий для получения снимков рентгеновские лучи. В большинстве случаев это не становится препятствием для проведения обследования. Исключение составляют случаи применения компьютерной томографии у беременных и у пациентов детского возраста.
Беременность – основное противопоказание для проведения компьютерной томографии. Причина в негативном воздействии рентгеновского излучения на развивающийся плод. Использование этого метода может привести к образованию пороков развития, особенно в первом триместре беременности. Исключение составляют случаи применения компьютерной томографии по жизненным показаниям.
Детский организм также чувствителен к негативным эффектам рентгеновского излучения, из-за более высокой лучевой нагрузки.
Не рекомендуется применять компьютерную томографию в случаях, когда возможно использование более безопасного метода диагностики.
Допускается применение КТ при наличии четких показаний к обследованию, у пациентов старше 5 лет, только при наличии направления от лечащего врача.
Компьютерная томография надпочечников проводится натощак. Воздержитесь от приема пищи за 4-5 часов до обследования.
Рекомендуется отказаться от курения и приема алкоголя накануне (выше риск побочных эффектов контраста).
Перед Кт надпочечников с контрастом можно принять легкий завтрак, но нельзя переедать – переполненный или совсем пустой желудок провоцирует тошноту при введении контрастного препарата.
И компьютерная томография, и магнитно-резонансная томография – отлично зарекомендовавшие себя методы диагностики заболеваний надпочечников, со своими преимуществами и недостатками.
Тем не менее, компьютерная томография применяется чаще, чем МРТ, из-за своей более низкой стоимости (цена компьютерной томографии надпочечников и почек ниже стоимости МРТ в два раза) и доступности, при одинаковых показателях специфичности и чувствительности.
Магнитно-резонансная томография лишена основного недостатка КТ – лучевой нагрузки. Предпочтительнее использовать МРТ при проведении обследования у детей и женщин. Однако более высокая стоимость может стать препятствием для пациента.
Чтобы решить проблему выбора, уточнить цены, выбрать клинику для проведения КТ надпочечников в СПб, узнать о скидках и акциях – используйте центр записи на диагностику VSEMRT.RU. Просто позвоните по телефону [GetPhone], и запишитесь на обследование.
Источник: https://vsemrt.ru/kt/vnutrennih-organov/nadpochechnikov/
Поделиться:











