В этой статье пойдет речь о таком довольно распространенном явлении, как фиброзно-костное заболевание, или, как его еще называют, фиброзная дисплазия. Этот недуг относят к опухолевидным болезням.
Он может быть локального плана или же распространяться на одну или несколько костей.
Как правило, это заболевание является врожденным, но в последнее время довольно часто его стали выявлять и у лиц более зрелого возраста.
Как уже упоминалось ранее, фиброзная дисплазия относится к категории опухолевидных болезней. Но на самом деле она не является опухолью кости. Это системная болезнь кости, выражающаяся нарушением развития ее тканей, а если точнее, то замещением ее на фиброзную, что в дальнейшем становится причиной ее деформации.
В большинстве случаев она возникает из-за неправильного развития остеогенной мезенхимы (так называется ткань, из которой в дальнейшем образовывается кость). Интересен тот факт, что женское население больше подвержено этому заболеванию, чем мужское. Кроме того, если его не лечить, то существует довольно высокая вероятность того, что оно переродится в доброкачественную опухоль.
Важно! Перерождение в злокачественную происходит довольно редко.
Эта болезнь кости человека впервые была обнаружена еще в начале ХХ века. Тогда еще, в далеком 1927 году, российским хирургом Брайцовым было сделано заключение о клиническом, микроскопическом и рентгенологическом признаке очагового фиброзного перерождения костей.
Не прошло и 10 лет, как американским врачом Олбрайтом была доказана взаимосвязь этой болезни с разнообразными эндокринными расстройствами.
В том же году другим немецким специалистом Альбрехтом была продемонстрирована связь фиброзной дисплазии с преждевременным половым созреванием и не очень четкой пигментацией кожных покровов.
К сожалению, на сегодняшний момент так достоверно и не удалось узнать причину, которая приводит к появлению этого заболевания. Но исходя из многочисленных исследований, можно отметить несколько факторов, из-за которых возникает фиброзная дисплазия. К ним относят:
- Переломы, что имеют тенденцию к частым повторениям. Но, как правило, такая тенденция наблюдалась только у 30% обратившихся из общего числа пациентов с этим заболеванием.
- Деформирование конечностей: вздутия, искривления ее оси.
- Медленный рост костей в длину.
- Наличие других хронических заболеваний, таких как: рудиментарная почка, гипертиреодизм, врожденная атрофия зрительных нервов, фибромиксоидная опухоль ткани.
Кроме того, достаточно популярным считается мнение о том, что дисплазия суставов развивается из-за мутации генов, но факты, которые доказывают передачу ее по наследству, на сегодняшний день отсутствуют. Также возможен вариант развития этой болезни еще во время нахождения в материнской утробе.
В большинстве случаев эта болезнь не имеет ярко выраженной симптоматики.
Человек может достаточно длительное время даже и не задумываться о том, что он болен, так как характерных болевых или негативных ощущений может и не быть до того момента, когда фиброзная дисплазия затронет одну или несколько костей.
Характерной особенностью этой болезни является то, что наносимые ею нарушения определяются количеством клеточно-волокнистых тканей, что усеяны кровеносными сосудами, и расположенных рядом образований кости, возле которых присутствует костеобразная ткань, также окруженная клетками.
На сегодняшний момент выделяют несколько видов разрастаний в кости: очаговый и диффузный. Первый вид характеризуется обособленной от других тканей трансформированной частью, без каких-либо проблем отлегающей от прилегающих костей. Также стоит отметить, что пораженная ткань впоследствии уплотняется и становится бледной, но без потери своей эластичности.
Для диффузного вида отличительной чертой является затрудненное определение величины пораженной ткани, так как этому мешает образовавшаяся пористая ткань, что прилегает к пораженному участку. Кроме того, наблюдается истончение коркового слоя. В дальнейшем происходит замена пористой материи на плотную бледно-желтую субстанцию. Также в обоих случаях могут обнаруживаться одиночные кисты.
Как показывает практика, если имеет место одиночное поражение, то такие болезни костей не совсем заметны. Первое, что бросается в глаза, — небольшое уплотнение инфицированного участка, не приносящее никакого неудобства, но с течением времени (1–2 года) на нем может появиться воспалительный процесс.
Кроме того, под воздействием этой болезни костей происходит укорачивание или же искривление бедра, вследствие чего развивается хромота.
На сегодняшний момент выделяют несколько видов этого заболевания:
Моноосальная. Происходит поражение только одной кости. Диагностируется в любом возрасте.
Полиоссальная. Поражаются несколько костей с одного края тела. Чаще всего она диагностируется как фиброзная дисплазия бедренной кости в сочетании с многочисленными патологиями эндокринной системы, меланозом кожи. Больше всего подвержены ее проявлениям дети.
Также стоит отметить, что это заболевание может быть локализировано на любой кости. Но чаще всего пораженными оказываются длинные трубчатые кости рук или ног. Кроме того, нередко от проявления заболевания страдают ребра.
Также в нашей стране используется классификация Зацепина. В ней выделяют:
- Всеобщее поражение кости. В этом случае поврежденными оказываются все элементы, начиная с кортикального слоя и области костномозгового канала. Также из-за всеобщего поражения со временем начинают образовываться деформации, и все чаще появляются усталостные переломы. Кроме того, довольно часто поражаются длинные трубчатые кости.
- Опухолевую форму. Характеризуется разрастанием источника фиброзной ткани, что в некоторых случаях может достигать очень больших размеров.
- Синдром Олбрайта. Отличительной чертой является полиоссальное или практически генерализованное повреждение кости, что сочетается с расстройством эндокринной системы и изменением в пропорциях человеческого тела.
- Фиброзно-хрящевую дисплазию. Ее проявлением считается перерождение хряща или перерождение в хондросаркому.
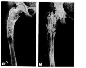
Диагноз «фиброзная дисплазия» ставится после проведения рентгенологического обследования и уточнения анамнеза больного. Как правило, на первоначальном этапе рентгеновские снимки показывают особые области, что по своему внешнему виду напоминают матовое стекло. Расположены они, как правило, на поврежденной кости в районе диафиза или метафиза.
В дальнейшем на пораженной области появляется характерная крапчатая поверхность, на которой происходит чередование уплотнений с небольшими зонами просветления. Кроме того, уже достаточно хорошо просматривается деформация.
Если же обнаружена одиночная дисплазия суставов, то в обязательном порядке нужно убедиться в отсутствии множественных поражений кости, которые на первоначальном этапе могут не так сильно бросаться в глаза.
Именно поэтому врачом может быть назначено вспомогательное обследование под названием денсометрия. Также при выявлении подозрительных зон выполняется рентгенография или, в случае необходимости, КТ кости.
Стоит отметить, что это заболевание, а особенно если это моноосальная дисплазия, достаточно тяжело диагностируется.
Поэтому при слабовыраженной клинике рекомендуется проводить продолжительное динамическое наблюдение.
Кроме того, очень часто для того, чтобы фиброзная дисплазия кости была диагностирована правильно, могут потребоваться дополнительные консультации у других врачей (терапевта, онколога, фтизиатра).
Как показывает практика, при своевременно проведенной диагностике и слабо выраженных отклонениях результат лечения будет положительным. В подавляющем большинстве пациенту будет достаточно и стандартной терапии.
Но существует определенный процент больных, у которых диагностирована фиброзная дисплазия, лечение которой будет заключаться в выскабливании и пластике трансплантатов. Но стоит отметить, что неудачи во время такой процедуры могут происходить из-за рассасывания трансплантата и обострения протекания заболевания.
Также уменьшение симптомов может происходить и после завершения определенных ортопедических процедур: кюретажа, остеомии, пересаживании костей.
Если это заболевание поражает берцовую кость, то внешние ее проявления выражаются в хромоте и резком изменением походки.
Значительно реже отмечают укорачивание кости человека, где расположена поврежденная костная ткань. Лечение также требует хирургического вмешательства с дальнейшей заменой на пластик.
Также стоит учитывать, что по завершении операции больному некоторое время придется использовать костыли и ортопедический аппарат.
Фиброзная дисплазия челюстей и черепа в запущенной форме имеет название «львиность лица». Этой форме свойственно быстрое вздутие костей. При ее диагностировании у детей рекомендовано провести оперативное вмешательство. Его основной целью является устранение дальнейшего деформирования костей лица, так как стоит помнить о том, что по мере роста больного будет происходить и их рост также.
Фиброзная дисплазия кости в запущенном варианте может привести к серьезным изменениям, более известным как «пастушья палка». При выявлении такой патологии следует немедленно совершить операцию, направленную на уничтожение поврежденного участка с дальнейшей заменой его на подходящий трансплантат. Как показывает практика, если отсутствуют рецидивы, то лечение будет положительным.
Кроме того, помните, что только специализированным врачом может устанавливаться интенсивность, степень и период проведения терапии. Также стоит отметить, что лечение фиброзной дисплазии кости подбирается в индивидуальном порядке для каждого больного.
Для более молодого поколения из-за хрупкости и не до конца развитой костной системы первоначально используется терапия, которую, если она не показывает своей эффективности, меняют на операцию. Лечение этой болезни у взрослых начинается с определения тяжести и длительности этого заболевания.
Единственное, что нужно понимать, так это то, что при отсутствии лечения этого заболевания существует высокая вероятность перерождения ее в гигантоклеточную опухоль, или неоссифицирующую фиброму. Кроме того, в последнее время участились случаи перерождения этой болезни в остеогенную саркому.
Если говорить о прогнозе для дальнейшей жизни, то он вполне благоприятен.
Но стоит еще раз подчеркнуть опасность отсутствия вовремя начатого лечения, что может в дальнейшем повлечь за собой полное искривление ноги, частые и тяжело срастающиеся переломы и особенно предрасположенность к взбухающей деформации.
Источник: https://cmiac.ru/preparaty/fibroznaya-displaziya-prichiny-simptomy-i-lechenie.html
Фиброзная дисплазия — заболевание, характеризующееся нарушением развития (дисплазия) скелета, при котором нормальная кость замещается фиброзной тканью с элементами диспластически изменённой кости.
Выделяют следующие формы
- монооссальную (около 85% случаев)
- мономелическую (поражено несколько соседних костей одной конечности, плечевого или тазового пояса)
- полиоссальную (около 5% случаев)
Фиброзная дисплазия как аномалия развития иногда сочетается с внескелетными расстройствами:
- полиоссальная форма поражения сочетается с преждевременным половым созреванием и пигментными пятнами на коже в виде кофейных пятен (Albright’s syndrome);
- сочетание фиброзной дисплазии с миксомами мягких тканей (Mazabraud’s syndrome).
Встречается в любом возрасте, наиболее часто в первые 3 десятилетия жизни (70% больных). Монооссальная форма несколько чаще встречается у лиц мужского пола, при полиоссальной форме соотношение лиц мужского и женского пола 2 : 1.
Поражается любая кость, наиболее частая локализация: проксимальная часть бедренной кости, большеберцовая и плечевая кости, рёбра, кости черепа, шейного отдела позвоночника. Поражение костей позвоночника только в 2,5% случаев.
Клиническая картина
Боли различной интенсивности, искривление и деформация костей, патологические переломы.
- Пациент обращается за помощью, когда:
- Появляется асимметрия, например, парных костей или костей лица
- Появляется боль
- Появляются нарушения двигательной функции
- Появляются патологические переломы
Патоморфология
Соединительнотканная строма с костными трабекулами примитивного строения, миксоидными изменениями, иногда формируются структуры типа цементом, очаги хондроидной ткани, кисты. Костные трабекулы лишь иногда ограничены остеобластами. Цитологическая атипия и митозы не характерны.
В очень редких случаях может наблюдаться атипизм клеток, связанный с дегенеративными или регрессивными изменениями.
- монооссальная форма — в 70-80% случаях. Чаще в промежутке от 20-30 лет
- полиоссальная форма — 20-30% случаях. Чаще проявляется до 8 лет
- ребер: 28%, наиболее распространенных
- проксимальный отдел бедренной кости: 23%
- голень
- черепно-лицевая кость: 10-25% [1]
- плечо
- часто односторонних: в пределах одной конечности
- бедра: 91%
- голени: 81%
- таз: 78%
- ноги: 73%
- ребра
- черепа и кости лица: 50% [1]
- верхняя конечность
- поясничный отдел позвоночника: 14%
- ключица: 10%
- шейный отдел позвоночника: 7%
Диагностика
- Рентгенологическая картина фиброзной дисплазии разнообразна.
- Патологические участки могут быть то более плотными, то более прозрачными по сравнению с окружающей костью, иногда имеют вид «матового стекла».
- Одни очаги четко отграничены зоной склероза, контуры других расплывчатые, что особенно характерно для костей черепа.
- Нередко выявляются узуры в кортикальном слое, а при наличии перелома — отчетливая периостальная реакция.
- затемнение по типу матового стекла: 56% [1]
- очаг однородный склеротический: 23%
- очаг кистозный: 21%
- очаг с четко определенными границами
- расширение костей с интактными вышележащими костями
- МРТ не является методом 100% в дифференциации фиброзной дисплазии от злокачественных образований
- Т1: неоднородный сигнал, как правило, промежуточный
- Т2: неоднородный сигнал, обычно гипоинтенсивный, но бывает с гиперинтенсивными участками
- Т1 с+ (Gd): гетерогенное контрастирование [1]
- Визуализируется увеличение индикаторного поглощения Tc99 при сканирование костей
- (очаги остаются метаболически активными и во взрослой жизни).
Дифференциальная диагностика
- Остеофиброзная дисплазия
- гигантоклеточная репаративная гранулёма кости
- болезнь Педжета
- высокодифференцированная центральная остеосаркома
- паростальная остеосаркома.
Источник: https://radiographia.info/article/fibroznaya-displaziya
Фиброзная дисплазия представляет собой патологию, которая приводит к замене костной ткани соединительной, с вкраплением трабекул кости. Эта разновидность дисплазии костей входит в разряд опухолевых болезней. Различают монооссальный (деформации подвержена одна кость) и множественный тип недуга (искривление затрагивает несколько костей).
Причины возникновения заболевания полностью не изучены. Многие врачи предполагают наследственную предрасположенность или внутриутробное нарушение развития плода. Рассмотрим, какие симптомы характерны для фиброзной дисплазии костей и правила лечения недуга.
Фиброзную дисплазию кости называют также болезнью Брайцева Лихтенштейна в честь первооткрывателей недуга. Российский хирург Брайцев в своем докладе описал признаки патологии, а Лихтенштейн исследовал очаги полиоссальных поражений и сделал выводы о причинах их возникновения. М85.0 – код фиброзной дисплазии костей по МКБ 10 (Международной классификации болезней 10 пересмотра).
Фиброзная остеодисплазия – это системная деформация скелета, которую относят к опухолевым недугам, хотя истинным новообразованием не является. Развивается из-за нарушения формирования остеогенной ткани – клеток, из которых впоследствии формируются кости голени и бедра.
В большинстве случаев фиброзная дисплазия нижних конечностей возникает в детстве, более позднее ее развитие встречается реже. Женщины страдают от патологии чаще представителей мужского пола.
Интересно!
Обычно фиброзная дисплазия представляет собой доброкачественное новообразование, малигнизация (перерождение в злокачественную опухоль) фиксируется очень редко.
Не стоит путать патологию с оссифицирующей фибродисплазией – редким заболеванием, представляющим необратимое перерождение мягкой ткани скелета в костную. Патологии подвержены сухожилия, мышцы и фасции. Для фибродисплазии характерны приступы отекания мягкий тканей, что свидетельствует о процессе перерождения.
Специалисты классифицируют фиброзную дисплазию на:
- Моноссальную форму – поражается одно сочленение. Возникает и у детей, и у взрослых;
- Полиоссальную – патология затрагивает несколько сочленений по одной стороне тела. Диагностируется в детском и подростковом возрасте, развивается на фоне эндокринных нарушений.
Еще одна популярная классификация дисплазии была предложена российским клиническим хирургом Зацепиным. Он подразделяет фиброзную патологию на:
- Внутрикостное поражение – затрагивает одно или несколько сочленений, в которых формируются участки фиброзной ткани, в редких случаях костная ткань перерождается по всей длине. Но верхний (корковый) слой остается неизменным, поэтому искривления нет;
- Полная (тотальная) патология – перерождение затрагивает все части сочленения, включая костномозговой канал и верхний слой. Это приводит к деформации конечности и усталостным переломам. Чаще всего такая форма дисплазии развивается в длинных трубчатых костях;
- Опухоль – редкая форма недуга, для которой характерен резкий рост фиброзной ткани;
- Синдром Олбрайта – еще одна смежная патология. Этот недуг включает три характерных признака – фиброзную дисплазию, очаговую гиперпигментацию (меланоз) дермы и досрочное половое созревание. Сопровождается необратимыми деформациями скелета и конечностей, а также дисфункцией внутренних органов и систем;
- Хрящевая фиброзная дисплазия заключается в замене хрящевой ткани на фиброзную. Может трансформироваться в хондросаркому;
- Обызвествляющая фиброзная дисплазия большой берцовой кости диагностируется крайне редко и является необратимой.
Консервативное лечение обычно не эффективно. Поэтому после уточнения диагноза пациента готовят к хирургической операции. Проводят:
- Остеотомию;
- Резекцию (иссечение) пораженной части сочленения и замену его на имплант;
- Удлинение кости (если зафиксировано укорочение конечности).
При диагностировании полиостозной разновидности проведение операции не показано. Лечение этой формы включает:
- Курс специального массажа;
- Физиотерапию;
- Лечебную физкультуру.
Точные причины заболевания до конца не изучены, поэтому профилактические меры предусматривают соблюдение общих правил:
- Отказ от вредных привычек;
- Здоровое питание;
- Систематическое посещение гинеколога во время беременности;
- Контроль за весом;
- Исключение чрезмерных нагрузок на суставы;
- Систематический профилактический осмотр у врача.
Прогноз для пациентов с фиброзной дисплазией в большинстве случаев – положительный. Исключение – полиоссальная разновидность, приводящая к необратимым деформациям. Перерастание патологии в доброкачественную опухоль наблюдается в 4%, а в злокачественное новообразование – только в 0,2% случаев.
Источник:
Фиброзная дисплазия – заболевание костной ткани, при котором она замещается соединительными волокнами. Из-за этого функции костей серьезно нарушаются, человек сталкивается с дискомфортом. Статистика показывает, что в большинстве случаев патологии подвергаются трубчатые кости, однако существуют случаи распространения фиброзной дисплазии на кости таза, черепа и ребер.
https://youtube.com/watch?v=bGPd-ty7a_s
Принято считать, что это врожденная аномалия. Она возникает на фоне мутации генов. Для лечения фиброзной дисплазии показано хирургическое вмешательство – медикаментозная терапия не способна справиться с недугом.
У каждого человека течение фиброзной дисплазии происходит по-разному. Причин, почему так происходит, до сих пор не установлено. Доказано, что у некоторых людей патология может прогрессировать очень медленно. У других же патологический процесс развивается крайне быстро.
Источник: https://glcgb.ru/ginekologiya/fibroznaya-displaziya-chto-eto-takoe-prichiny-i-opisanie-bolezni.html
Фиброзная дисплазия, или фиброзно-кистозная болезнь кости относится к системному заболеванию скелета, которое выражается в нарушении развития костной ткани, а именно, в ее замещении на ткань фиброзную, что приводит к деформации кости. Этот вид дисплазии, так же как и другие ее виды: фиброзно-мышечная, эктодермальная, цервикальная и прочие, не является истинно опухолевым, однако он стоит совсем рядом с новообразованиями.
Для фиброзной дисплазии скелета характерны следующие признаки:
- периодически повторяющиеся переломы, которые наблюдаются в 30% случаев заболеваний;
- деформация конечности: вздутие, искривление ее оси;
- замедление роста кости в длину;
- сочетание с другими заболеваниями: рудиментарной почкой, гипертиреоидизмом, врожденной атрофией зрительного нерва, фибромиксоидными опухолями тканей.
Причины развития этой болезни до сих пор не изучены до конца. Принято считать, что в ее основе лежат опухолеподобные процессы, которые связаны с нарушением развития остеогенной мезенхимы.
Чаще возникает фиброзная дисплазия у детей (среди детских новообразований фиброзная дисплазия занимает 10%), но также встречается и у взрослых и пожилых людей.
Наиболее подвержены этому заболеванию женщины.
Различают следующие основные формы данного вида дисплазии:
- Монооссальную, при которой поражается лишь одна кость. Может возникать у людей любого возраста.
- Полиоссальную, когда поражены одновременно несколько костей одной стороны тела. Эта форма нередко сочетается с различными эндокринными патологиями и с меланозами кожных покровов. Возникает у детей.
Фиброзная дисплазия может поразить любую кость. И диффузные, и очаговые поражения располагаются в диафизах и метафизах, чаще всего в длинных трубчатых костях рук и ног. Наиболее часто этой болезни подвергаются большеберцовая, бедренная, лучевая и плечевая кости, также нередко страдают ребра.
При монооссальной форме обычно поражаются длинные трубчатые кости, ребра, череп и лопатки, а при полиоссальной – более половины всех костей скелета, как правило, с одной стороны, но поражение также может быть и многосторонним, что говорит о врожденной природе заболевания.
Очаги поражения могут возникать как на совсем небольших участках костей, так и на значительных. В самом начале развития заболевания пораженные участки скелета способны сохранять свои первоначальные и форму, и размеры. Со временем начинают появляться очаги «вздутия», костная ткань начинает деформироваться: удлиняться или, наоборот, укорачиваться.
На распиле кости определяются белые, с красноватыми вкраплениями очаги, которые обычно имеют округлую или удлиненную форму, иногда сливающиеся между собой. При этом канал костного мозга расширен и заполнен новообразованными тканями.
Лечение фиброзной дисплазии кости предполагает лишь оперативное вмешательство, при котором осуществляется резекция очага поражения независимо от его размеров в пределах здоровых тканей, с дальнейшим замещением дефекта гомотрансплантатом.
https://youtube.com/watch?v=nePAdBWEVY4
Ослабление клинических симптомов данного заболевания возможно в результате проведения определенных ортопедических процедур: остеотомии, пересадки костей и кюретажей.
Назначают проведение данных вмешательств в случае прогрессирующих деформаций, многократных и долго не срастающихся переломов, а также при болевом синдроме, избавиться от которого с помощью обычных лекарственных средств не удается.
Если заболевание сопровождается значительным содержанием щелочной фосфатазы, то в данной ситуации рекомендуется принимать гормон кальцитонин.
В любом случае, диагностику и лечение болезни должен проводить специалист-ортопед, прием каких-либо препаратов без разрешения врача категорически запрещен!
Прогнозы для жизни можно назвать достаточно благоприятными. Очаг может перейти в доброкачественную опухоль – гигантоклеточную опухоль кости или неоссифицирующуюся фиброму. Кроме того, существует ряд случаев, когда у взрослых происходило злокачественное перерождение очага в остеогенную саркому.
Если говорить о функциональных прогнозах, то в случае отсутствия лечения и ортопедической профилактики большие поражения (одновременно и диффузные формы, и многоочаговые) могут привести к искривлению костей, к многократно повторяющимся и трудно срастающимся патологическим переломам, особенно к перелому бедренной кости, а также к выбухающим деформациям. Многократным переломам обычно подвержены нижние конечности, переломы рук, как правило, срастаются хорошо, но их деформация при этом увеличивается.
Если очаги фиброзной дисплазии костей небольшие и одиночные, то особой опасности они не представляют. В случае отсутствия беспокойств удалять их не нужно, поскольку возможна самостоятельная оссификация.
Источник: https://nashynogi.ru/displaziya/fibroznaya-displaziya-kosti.html
-
аппарат Илизарова
-
билокальный остеосинтез
-
гидроксиапатит
-
компрессионно-дистракционный остеосинтез
-
костная киста
-
монолокальный компрессионный остеосинтез
-
остеодисплазия
-
фиброзная дисплазия
АЛТ – аланинаминотрансфераза
АСТ – аспартатаминотрансфераза
БДКО – билокальный компрессионно-дистракционный остеосинтез
ГА – гидроксиапатит
КК – костная киста
КО – комбинированный остеосинтез
МКО — монолокальный компрессионный остеосинтез
МП – медикаментозная пункция
МРТ – магнитно — резонансная томография
НИИ – научно исследовательский институт
УЗИ – ультразвуковое исследование
ЭКГ – электрокардиограмма
ФД – фиброзная дисплазия
КТ — компьютерная томография
Остеосинтез – хирургический метод соединения костных отломков и устранения их подвижности с помощью фиксирующих приспособлений.
Остеосинтез чрескостный – остеосинтез, с помощью жестко соединенных между собой металлических спиц или гвоздей, проведенных через отломки костей перпендикулярно к их оси и фиксированных с помощью специальных аппаратов или приспособлений (дуг).
Монолокальный компрессионный остеосинтез (МКО) – создание с помощью аппарата внешней фиксации управляемой компрессии или дистракции в проблемной зоне (зоне интереса).
Билокальный компрессионно-дистракционный остеосинтез (БКДО) – остеотомия отломка и транспорт кости (дозированное, управляемое перемещение сформированного фрагмента).
Фиброзная дисплазия – ненаследуемая аномалия развития костей, при которой нормальная костная ткань заменяется фиброзно-костной тканью.
Костная киста – это заболевание, характеризующееся образованием полости в костной ткани. В его основе лежит локальное нарушение внутрикостного кровообращения, активация лизосомных ферментов.
Фиброзная дисплазия – заболевание, характеризующееся нарушением развития (дисплазия) скелета, при котором нормальная кость замещается фиброзной тканью с элементами диспластически изменённой кости.
Выделяют монооссальную (около 85% случаев), мономелическую (поражено несколько соседних костей одной конечности, плечевого или тазового пояса) и полиоссальную (около 5% случаев) формы.
В основе лежит замедленная и извращенная оссификация эмбрионального хряща [1; 2].
Костная киста – заболевание, характеризующееся образованием полости в костной ткани. В его основе лежит локальное нарушение внутрикостного кровообращения, активация лизосомных ферментов, которая приводит к деструкции глюкозаминогликанов, коллагена и других протеинов.
Процесс сопровождается повышением осмотического и гидростатического давления в формирующейся полости, жидкое содержимое которой имеет высокую фибринолитическую и остеолитическую активность. По международной классификации патологии костной ткани кисты относят к опухолеподобным заболеваниям.
Аневризмальная киста кости – это обширное доброкачественное поражение костной ткани в виде многокамерной, реже однокамерной полости, наполненной кровяным содержимым, ее стенки могут быть с вкраплениями мелких костных частей.
Фиброзная дисплазия вызывается соматической мутацией в гене GNAS1, локализованном на хромосоме 20q13.2-13.3. Этот ген кодирует альфа-субъединицу стимулирующего белка G, Gs?. Вследствие этой мутации, происходит замена аминокислоты аргинина (в белке) в положении 201 (R201) на аминокислоту цистеин (R201C) или гистидин (R201H).
Этот аномальный белок стимулирует G1 циклический аденозинмонофосфат (АМФ) и остеобласты (клетки) к более высокой скорости синтеза ДНК, чем в нормальных клетках. Это приводит к образованию фиброзной дезорганизованной костной матрицы с образованием примитивной костной ткани, которая не способна созревать в пластинчатые кости.
Процесс самой минерализации также проходит ненормально.
В основе этиопатогенеза развития патологического процесса формирования и роста кист лежит локальное нарушение венозного дренажа в метафизарном отделе кости.
Возникающее при этом, повышенное внутрикостное давление приводит к альтерации клеточного состава элементов крови и высвобождению лизосомальных ферментов, которые, воздействуя на костную ткань, вызывают её лизис. Одновременно происходит нарушение свертывающей системы крови, выражающееся в локальном фибринолизе.
Накапливающиеся продукты распада органического матрикса костной ткани создают повышенное онкотическое давление содержимого кисты. Таким образом, создаётся порочный круг патогенеза, когда каждый из компонентов усиливает другой.
Фиброзная дисплазия составляет около 5% от всех доброкачественных поражений костей. Однако, истинная заболеваемость неизвестна, так как многие пациенты не имеют симптомов. Локализованная фиброзная дисплазия составляет 75-80% случаев.
Фиброзная дисплазия является медленнорастущим поражением, которое обычно появляется в периоды роста костей и, таким образом, их часто можно наблюдать у лиц в раннем подростковом и в позднем подростковом возрасте.
Среди всех опухолей и дисплазий скелета кисты костей составляют 37,7% [3], среди доброкачественных опухолей скелета – 56,2%. Среди больных с патологией опорно-двигательного аппарата они составляют около 0,4 %, а у детей с диспластическими и опухолевыми заболеваниями костей – от 21 до 57 % [4].
M 85.0 – Фиброзная дисплазия (избирательная, одной кости)
M 85.4 – Единичная киста кости
М85.5 – Аневризматическая костная киста
Классификация фиброзной дисплазии:
- монооссальная;
- мономиелическая;
- полиоссальная.
Классификация костных кист:
- солитарная;
- аневризмальная;
- юкстаартикулярная.
Симптомы фиброзной дисплазии. КК чаще развивается в детском и юношеском возрасте, обычно поражает длинные трубчатые кости. На начальных стадиях протекает бессимптомно или сопровождается незначительными болями. Нередко первым признаком патологического процесса становится патологический перелом.
Симптомы могут отсутствовать или быть слабо выраженными. Пальпация, как правило, безболезненна, значительная нагрузка обычно сопровождается болью.
При больших кистах в области проксимального диафиза бедра возможна хромота, при поражении плечевой кости – дискомфорт и неприятные ощущения при резких движениях и поднимании руки.
Симптомы ФД обычно выявляются еще в детстве, но возможно и позднее начало. Выраженные врожденные деформации обычно отсутствуют. При полиоссальной форме первые симптомы появляются в детстве.
Поражение костей сопровождается эндокринопатиями, пигментацией кожи и нарушением деятельности сердечно-сосудистой системы.
Проявления болезни достаточно разнообразны, наиболее постоянными признаками являются незначительные боли (обычно в бедрах) и прогрессирующие деформации. Иногда болезнь диагностируется только при возникновении патологического перелома.
Степень деформации зависит от локализации очагов фиброзной дисплазии. При возникновении процесса в трубчатых костях верхних конечностей обычно наблюдается только их булавовидное расширение. При поражении фаланг пальцы укорачиваются, выглядят «обрубленными».
-
Рекомендовано на этапе постановки диагноза изучить общий ортопедический статус для выявления сопутствующих нарушений, измерить длину, окружность пораженной и контралатеральной конечностей, амплитуду активных и пассивных движений в суставах, определить величину деформации в градусах, состояние мягких тканей сегмента, наличие рубцов [5].
Уровень убедительности рекомендаций А (уровень достоверности доказательств – 1b)
Источник: https://medi.ru/klinicheskie-rekomendatsii/fibroznaya-displaziya_13946/
Поделиться:








