На календаре беременности 10-я акушерская неделя (8-я от зачатия). С каждым днем женщина все лучше ощущает изменения, происходящие в ее теле и с ее фигурой.
- Какие из них вполне нормальны на 10-й неделе беременности, а что должно насторожить?
- Как поменяется плод? Что скажет гинеколог на приеме? Нужно ли делать УЗИ и сдавать анализы?
- Какие выделения и ощущения нормальны на текущем сроке и как организовать жизнь, чтобы обеспечить будущего ребенка всем необходимым?
- О каких проблемах нужно помнить на 10-й неделе беременности (по акушерским расчетам).
ПитаниеВесМожно и нельзя
Проблемы 10-й недели беременности
ПростудaУгроза выкидышаЗамершая беременность
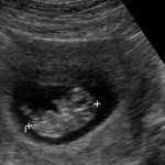
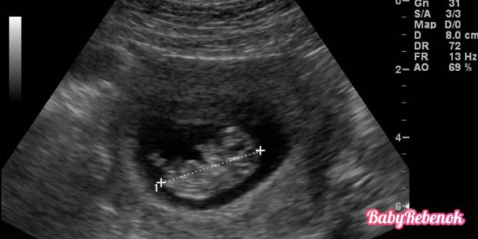
Что покажет УЗИ на 10 неделе беременности. Фото плода
На 10 неделе беременности обычно не проводят УЗИ без каких-то особенных показаний. Обычно контрольное исследование назначают на период между 10 и 14 неделями. Но если сделать УЗИ на 10 неделе, можно увидеть, что плод уже похож на человека. Если он не спит, то активно шевелится, двигает ручками и ножками, может брать пальчик в рот. Плод находится в пузыре, наполненном амниотической жидкостью.
Фото УЗИ на 10 неделе беременности
Вопросы — ответы
О чем свидетельствуют при беременности 10 недель коричневые выделения?
Коричневый цвет влагалищным выделениям придает кровь. Причин этого может быть много. При беременности слизистая влагалища становится рыхлой, легко травмируется. Если вы заметили однократные коричневые выделения после гинекологического осмотра — это не страшно. Но если выделения обильные, постоянные, сопровождаются болью в животе — это угроза прерывания беременности. Обязательно обратитесь к врачу.
Что делать, если на 10 неделе беременности тянет живот?
Тянущие ощущения внизу живота в первом триместре беременности связаны с повышением тонуса матки. При возникновении таких ощущений постарайтесь лечь, отдохнуть, и в норме все нормализуется. Если же эти ощущения не прекращаются, перерастают в боль — обращайтесь к врачу.
У меня появился насморк, боль в горле, невысокая температура на 10 неделе беременности. Чем можно лечиться?
Категорически нельзя заниматься самолечением. Препараты, которые в обычном состоянии вы принимали при простуде, повышении температуры, сейчас использовать нельзя. Обратитесь к врачу, даже если ваше самочувствие удовлетворительное — он назначит такие препараты, которые будут безопасны для малыша. Также советуем ознакомиться с каплями от насморка для беременных.
У меня довольно сильно болит грудь. Это нормально?
Молочные железы готовятся к естественному процессу вскармливания малыша. Под действием гормонов начинает функционировать железистая ткань, повышается кровенаполнение грудных желез, поэтому болезненные ощущения — это вполне нормально. Для их облегчения носите удобное поддерживающее белье без косточек, можно делать очень легкий поглаживающий массаж.
Когда обычно заканчивается токсикоз? На 10 неделе меня все еще беспокоит тошнота по утрам, первую половину дня практически не могу ничего кушать.
Обычно токсикоз полностью проходит к 12–14 неделе беременности, но иногда его признаки могут сохраняться на более поздних сроках. Если симптомы очень выраженные — обратитесь к врачу, не нужно просто пережидать, когда тошнота закончится. Вам просто необходимо хорошо питаться, ведь малышу нужны питательные вещества для развития. Если же вы замечаете, что тошнота постепенно уменьшается, а регуляция режима питания (частая дробная еда, достаточное питье) все-таки помогает, постарайтесь отрегулировать свой режим — это поможет облегчить симптомы токсикоза.
Развитие плода на 10 неделе беременности. Что происходит с малышом
10 неделя беременности — время интенсивного развития.
- Развивается нервная система и мозг. Нервная система уже подразделяется на центральную и периферическую.
- У плода уже сформировались почти все внутренние органы, активно работает кровеносная система.
- Сердце бьется часто — около 150 ударов в минуту.
- Сформированы желудочно-кишечный тракт, развивается печень.
- Развивается иммунная и лимфатическая системы.
- Появляется диафрагма.
- Хрящевые зачатки костей замещаются настоящей костной тканью, развиваются зачатки молочных зубов. Организм будущего ребенка сейчас требует много кальция.
- Ребенок уже имеет свою группу крови — в крови появились соответствующие агглютинины и агглютиногены. Группа крови ребенка зависит от групп крови родителей, но совсем не обязательно совпадает с одной из них.
- Если это мальчик, его яички уже начинают вырабатывать тестостерон.
- Если девочка, ее яичники вырабатывают эстроген. Наружные половые органы плода еще не сформированы.
- Уже появились ручки, ножки и даже пальцы на них.
Вес плода на 10 неделе беременности составляет 4-5 граммов, а размер плода — 35-40 мм. Он еще совсем маленький, но у него уже есть все важные внутренние органы, закладываются половые признаки, хотя пол еще нельзя определить. Плод прозрачный, на коже появляется пушок.
Фото животиков. Как выглядит живот на 10 неделе беременности
Что нужно знать об инфекциях мочевых путей во время беременности?
Инфекции мочевых путей – самые распространенные бактериальные инфекции во время беременности. В их возникновении зачастую виноват гормон прогестерон: он расслабляет мочевыводящие пути, что способствует замедлению потока мочи и росту болезнетворных микроорганизмов. Источником инфицирования чаще всего становятся бактерии, обитающие в прямой кишке: они могут проникать в мочеиспускательный канал, затем поднимаются вверх. Нередко это приводит к развитию воспаления в мочевом пузыре – цистита. Заболевание проявляется такими симптомами, как: · Неприятные ощущения, боль, жжение во время мочеиспускания. · Боль и дискомфорт в низу живота. · Моча становится мутной, приобретает неприятный запах.
При нелеченом цистите во время беременности повышается риск преждевременных родов. Если у вас появились похожие симптомы, нужно обратиться к врачу. Лечат заболевание антибиотиками. Доктор назначит безопасные препараты. Обычно на фоне антибактериальной терапии улучшение состояния наступает очень быстро, но не стоит бросать прием лекарств сразу, как только вы почувствовали себя лучше. Курс нужно пройти до конца, иначе инфекция может вернуться. Иногда в мочевом пузыре находятся микроорганизмы, но это не проявляется никакими симптомами. Такое состояние называется бессимптомной бактериурией, его диагностируют по анализам. При этом также придется принимать антибиотики.
Бактериальный вагиноз во время беременности
В женском влагалище есть собственная микрофлора. Если бактерии, которые в норме в меньшинстве, начинают бурно размножаться и преобладать, развивается состояние, известное как бактериальный вагиноз. Оно проявляется в виде выделений серого или молочно-белого цвета, неприятного «рыбного» запаха (обычно усиливается после секса), раздражения и зуда вокруг влагалища. Примерно половина женщин, имеющих бактериальный вагиноз, не испытывают симптомов. Бактериальный вагиноз во время беременности повышает риск преждевременных родов. В данном случае врач назначит лечение антибиотиками.
Дрожжевая инфекция во время беременности
Примерно у трети женщин во влагалище присутствуют грибки рода Candida. При определенных условиях они могут начать быстро размножаться и вызвать инфекцию – кандидоз. Во время беременности этому способствует повышенный уровень эстрогена, который усиливает во влагалище продукцию гликогена – он создает хорошую питательную среду для грибка. Есть данные о том, что эстроген напрямую стимулирует рост кандид, помогает им более эффективно прикрепляться к стенкам влагалища. В принципе, кандидоз во время беременности не опасен. Но во время родов грибок может инфицировать ребенка, в итоге у малыша разовьется молочница, основное проявление которой – пятна белого цвета во рту. К счастью, заболевание не является серьезным и достаточно хорошо лечится.
Выделения на 10 неделе беременности
На 10 неделе беременности выделения в норме белого цвета, не имеют или почти не имеют запаха. Однако иммунитет женщины во время беременности ослаблен, поэтому может появиться молочница.
Если выделения изменились — стали желтыми, зеленоватыми, с хлопьями и неприятным запахом, нужно срочно выяснить, в чем причина. Если дело в заражении какой-то инфекцией, ее необходимо вылечить, иначе она может навредить будущему ребенку. Также на инфекцию указывают рези и боль при мочеиспускании, зуд половых органов.
Опасность на 10 неделе беременности представляют коричневые или кровянистые выделения. Если они появились и тем более сопровождаются болями внизу живота, напоминающими схватки, это свидетельствует о начале выкидыша. В этом случае необходимо вызывать скорую! Промедление здесь грозит потерей ребенка.
Кровянистые выделения с тянущими болями могут говорить о внематочной беременности. Это очень опасное состояние! Если внематочная беременность не была диагностирована раньше, то сейчас выросшая яйцеклетка может разорвать фаллопиеву трубу. Разрыв угрожает жизни женщины, поэтому нужна немедленная госпитализация и операция.
Выделения
Если из влагалища время от времени появляется незначительное количество прозрачной или белесой слизи, это нормально. К сожалению, у беременных часто сама собой возникает молочница (кандидоз). Об этом заболевании свидетельствуют белые, творожистые выделения с неприятным запахом. Лечить молочницу должен врач. Это заболевание передается половым путем, так что терапия потребуется и отцу ребенка.
Коричневые выделения – тревожный симптом. О нем нужно по возможности быстро сообщить врачу. А если началось кровотечение – лучше всего вызвать “Скорую”.
В редких случаях даже на десятой неделе могут начаться небольшие прозрачнее выделения из сосков. Это молозиво. Если жидкость пачкает одежду, потребуются специальные прокладки для бюстгальтера. Сцеживать молозиво нельзя.
Советы будущей маме
10 неделя беременности — период, когда не нужно пренебрегать физическими нагрузками. Конечно, заниматься нужно аккуратно. Лучше всего будущей маме подходит йога и плавание — они хорошо влияют на нервную систему. Физическая активность поможет поддерживать себя в форме и быстрее восстановиться после родов.
Это интересно: Йога на ранних сроках беременности — Лучшие асаны для беременных
Плоду сейчас требуется много кальция, поэтому нужно обращать внимание на состояние зубов и посещать стоматолога, если есть необходимость.
Питание, интимная жизнь и другие рекомендации для беременных
Если беременность протекает без осложнений, будущая мама может вести привычный образ жизни, избегая тяжелых физических нагрузок. Однако если пациентка прошла процедуру ЭКО, сделала аборт или имеет выкидыши в анамнезе, то такая беременность должна протекать в особых условиях. Запрещено поднимать тяжести, нервничать, заниматься сексом. Во время беременности необходимо забыть о вредных привычках. Алкоголь, сигареты и наркотики — под строжайшим запретом.
Питание должно быть сбалансированным. Кушать надо часто, но понемногу. Лучше выбирать продукты с высоким содержанием витаминов и минералов, а от фастфуда стоит отказаться. Будущая мама должна следить за тем, сколько жидкости она употребляет. За сутки необходимо выпивать не менее 2 л воды (сока, компота, чая и пр.).
Пациентка должна придерживаться всех рекомендаций врача. Она должна уточнить, какие препараты ей можно принимать, а какие могут нанести непоправимый вред малышу. Находясь в предвкушении наступления материнства, нужно наслаждаться каждым днем.

Питание на 10 неделе беременности
Питание, как и в течение всей беременности, должно быть полноценным. Чтобы избежать запоров, можно порекомендовать следующее.
- Достаточно пить — до 2 литров в сутки. Часто именно из-за недостатка жидкости возникают запоры. Кроме обычной воды, полезен сливовый сок.
- Уменьшить количество чая, кофе, кофеиносодержащих напитков.
- В пище должна быть клетчатка. Она содержится в хлебе из муки грубого помола, свежих овощах и фруктах, цельнозерновых продуктах.
- В каждый прием пищи съедать небольшую порцию салата.
- Перед завтраком хорошо выпить стакан теплой воды с лимоном — он «разбудит» кишечник.
- Питаться нужно небольшими порциями, но чаще.
- Мягким слабительным действием обладают сухофрукты: чернослив и курага.
Также женщина должна получать с пищей достаточно кальция, потому что на 10 неделе у ребенка активно формируются кости и зубы.
- Беременной женщине нужно от 1000 до 1300 мг кальция в сутки.
- Этот важный элемент можно получить не только из молочных продуктов, но и из брокколи, шпината.
- Продукты с кальцием нужно есть несколько раз в день, не нужно пытаться получить всю дозу за один присест, часть все равно не усвоится. Например, за один прием пищи достаточно выпить стакан молока, или съесть 40 г сыра, или одно яйцо, или около 80 г рыбы, или 125 г белой фасоли.
- Добавки с кальцием нужно принимать по рекомендации врача.
- Для усвоения кальция нужен витамин D, который вырабатывается во время пребывания под лучами солнца. Достаточно 15-30 минут в день.
Медицинские рекомендации
На каком бы сроке будущая мама не находилась, при появлениях боли в животе, в обязательном порядке необходимо обратиться за консультацией и осмотром к врачу.
Гинекологи рекомендуют обратить внимание на выделения из влагалища. Если они не изменились, в частности цвет, консистенция и запах, то беспокоиться не надо. В ином случае необходимо обратиться к акушеру для исключения инфекций и воспалений.
Рекомендуемое питание
Питаться будущей маме необходимо полноценно и разнообразно. Пища должны быть полезной. Это способствует тому, что Ваш малыш будет получать все важные для развития вещества и микроэлементы.
В обязательном порядке нужно кушать сезонные фрукты и овощи, рыбу, мясо и молочную продукцию. Для того, чтоб минимизировать изжогу, лучше перейти на дробное питание, 5-6 раз в день. Любые виды спиртных напитков не принесут плоду пользы.
В рационе обязательно должны присутствовать кильциесодержащие продукты
Если есть возможность, то лучше отказаться от крепкого чая и кофе. Иногда врачи разрешают употреблять не крепкий кофе с молоком.
Резус-фактор и резус-конфликт
На 10 неделе беременности важно выяснить наличие резус-конфликта между матерью и плодом. Его вероятность существует, если у мать резус-отрицательна, а отец — резус-положителен. Если конфликт есть, придется контролировать ситуацию и сдавать анализы каждый месяц, после 32 недели — каждые две недели, а с 35 недели — каждую неделю.
Рекомендуем к прочтению: Что такое резус-фактор и резус конфликт при беременности
Резус-конфликт опасен тем, что может начаться отторжение плода иммунитетом матери, а также тем, что эритроциты у ребенка начнут разрушаться, что приведет к нарушению развития и возможной гибели плода. Кроме того, резус-конфликт повышает вероятность выкидыша в следующую беременность женщины. Для того, чтобы беременность и роды прошли без осложнений, в таких ситуациях делают уколы антирезусного иммуноглобулина.
Какие исследования проводятся?
После подтверждения факта наступления беременности при повторном посещении гинеколога он определит вес, размеры таза пациентки и измерит артериальное давление. Затем будущей маме предложат пройти следующие клинические исследования:
- общий анализ крови и мочи;
- анализ крови на инфекции;
- анализ уровня глюкозы в крови;
- глюкозотолерантный тест;
- мазок на цитологию;
- бакпосев мочи на флору.
Если женщина знает о своей резус-отрицательной принадлежности крови, то необходимо определить группу крови отца будущего ребенка. При резус-конфликте в течение всей беременности пациентке необходимо контролировать титр антител. При необходимости дополнительно может быть взята кровь на определение антител к токсоплазмозу и краснухе.
Если существует риск невынашивания беременности (имеются эндокринные заболевания), врач может порекомендовать будущей матери сдать анализ на определение уровня гормонов. При выявлении патологии пациентке дают направление на анализ для определения специфических инфекций. По показаниям назначают УЗИ.
При подозрении на синдром Дауна, чтобы понять, что с малышом все хорошо, специалисты проводят ряд исследований:
- амниоцентез;
- фетоскопию;
- биопсию ворсинок хориона.
В зависимости от результатов исследований врач подтвердит или опровергнет наличие генетических патологий плода. Перед женщиной может встать вопрос о необходимости раннего прерывания беременности.
Все беременные старше 35 лет входят в группу риска, поэтому они в обязательном порядке должны пройти все вышеперечисленные исследования. На 10 неделе беременности таким пациенткам рекомендуют сдать анализ на определение уровня гормона ХГЧ. Этот анализ помогает оценить возможные риски и дает прогноз на благоприятный исход беременности. Если все анализы в норме и гестация протекает без патологий, первое УЗИ будет назначено на сроке 11-13 недель.
Простуда на 10 неделе беременности
На 10 неделе беременности простудные заболевания уже не так опасны для будущего малыша. Однако возникают они чаще, ведь из-за активного развития плода у женщины снижен иммунитет. Лучше в случае простуды посоветоваться с врачом.
Дома нужно много пить тепло жидкости, но с травами нужно быть осторожнее, для некоторых из них беременность — противопоказание. Нос нужно промывать солевым раствором. Помещение, в котором находится женщина, нужно часто проветривать, но не создавать сквозняков. Если нет температуры, то прогулки пойдут только на пользу.
Питание
Некоторым мама сложно подобрать себе оптимальное меню на этом сроке беременности. Ведь ко многим продуктам питания может еще быть отвращение. Постарайтесь разнообразить свой рацион — введите абсолютно новые блюда из полезных продуктов, возможно, вам это понравится. Обычно организм беременной женщины даже при токсикозе хорошо реагирует на натуральные продукты: овощи, фрукты, натуральный йогурт, диетическое мясо. Организм вашего малыша сейчас невероятно быстро растет, и ему нужно очень много разнообразных питательных веществ.
Уже с самого начала беременности, а еще лучше до нее вы должны получать комплекс витаминов и микроэлементов. Если по какой-либо причине вы этого еще не сделали — проконсультируйтесь с врачом, он поможет подобрать хороший препарат. Если же токсикоз выражен очень сильно, ешьте то, что вам нравится. Конечно, за исключением вредных для малыша продуктов: жареного, консервантов, красителей, газированных напитков и т.д. Ешьте маленькими порциями, но часто. Совсем скоро тошнота полностью пройдет, и вы сможете наслаждаться полезными продуктами сполна.
Как себя чувствует малыш
Ближе к концу этой недели, ребенок окончательно перерастет из эмбриона в полноценный плод. До этого момента перепончатые пальцы рук и ног плода, начнут формироваться, и отделятся друг от друга. Все жизненные органы сформированы, и плацента функционирует. Теперь, ребенок приобретает более человекоподобный вид, веки начинают закрываться, а черты лица становятся более отчетливыми. Плод уже умеет глотать и начинают формироваться зачатки зубов.
Будущая мама, может прослушать биение сердца своего малыша, при плановом посещении наблюдающего врача. Если заказать УЗИ, то на снимке будет видно его крошечное сердце, хотя до определения половой принадлежности, времени еще предостаточно.
Занятия любовью
За отсутствием противопоказаний, ведение активной половой жизни не только необходимо, но и полезно. Всем мужчинам, без исключения нравится округлившаяся фигура любимой женщины. Вся женская половая система, в этот период активнее снабжается кровью, поэтому и оргазм будет ощущаться чаще и ярче. Резко повышенная эмоциональность оказывает большое влияние на будущих мам. Чтобы предотвратить сексуальные проблемы с мужем, заниматься любовью нужно в самое благоприятное время дня: рано утром, перед завтраком или после дня отдыха (сна). Позы для занятий сексом лучше выбирать такие, которые не будут оказывать давление на растущий живот.
Необходимые мероприятия для здорового протекания беременности
К этому сроку, у большинства женщин уже было первое перинатальное назначение, поэтому им нужно тщательно выполнять советы врача. Одежда должна быть удобной и легкой, не обязательно на этом сроке надевать на себя одежду для беременных, но выбор лучше остановить на эластичных брюках и широких рубашках. Также, пришла пора обновлять гардероб нижнего белья – лифчики и трусы нужно покупать большего размера.
Если ваша утренняя тошнота утихла, пришло время серьезно подумать о здоровой диете, которая безопасна и питательна для матери и ее развивающегося плода. Это время идеальное, для начала приема витаминных комплексов и минералов.
Для комфортного самочувствия как матери, так и ребенка, необходимо увеличить суточную норму потребления калорий. Сделать это нужно еще до наступления второго триместра. О том, как правильно это сделать, нужно посоветоваться со своим врачом.
Владелицам котов и кошек, настоятельно рекомендуется прекратить очищение их горшков. Согласно Центрам по контролю и профилактике заболеваний, токсоплазмоз представляет собой серьезную паразитарную инфекцию, переносчиками которой, являются кошки.
Кошки заражаются, путем поедания грызунов, птиц и мелких животных, и проводят инфекцию через фекалии. Беременные женщины могут заразить токсоплазмоз от очистки ящика для мусора и передать инфекцию своему ребенку.
Зараженные младенцы могут неправильно развиваться в области глаз или у них возникнут проблемы с мозгом, включая врожденную слепоту.


